Archive for the ‘審美歯科 審美治療’ Category
・抜歯してインプラントをするしかありません
抜歯してインプラントをするしかないと言われ、歯を残したいと希望される初診患者さんが直近でも複数名来院されています。
インプラントには歯肉退縮によるインプラント体(骨に埋め込むネジ部分)の露出など将来的に読みきれないトラブルが生じる場合があり、また、オペにリスクがあることや高額であること、オペまでの不安によるストレスを考えると、私はできれば生涯自身の歯で笑い食事をしたいですし、できればインプラントは受けたくない、しなくてはならないとしても可能な限り遅らせたい治療です。
そのため当院では”私たち自身が受けたい治療を”というコンセプトのもと、歯科医師となり20年以上をかけ可能な限り歯を残すことができるよう努めてきました。
私たちのインプラントへの考え方をお伝えさせていただきます。
抜歯と宣告されても歯を残すことが可能な場合がある
痛みがないけれども抜歯・インプラントを勧められ不安になり来院される患者さんが少なからずいます。
歯科医院はそれぞれ医療コンセプトも技術も得意分野の有無も異なります。
矯正だけを行う医院、顕微鏡や拡大鏡を用いず一般歯科治療を行う医院、抜歯やインプラントを得意とする医院、歯や神経を残すために精密な歯科治療を行う医院など様々です。
歯科治療にはむし歯、歯周病、根管治療、かみ合わせ、矯正、インプラント、口腔外科、予防歯科など様々な治療分野があります。歯や神経を残すことを考えるのであれば一般歯科治療だけではなく、また、なにかの分野だけでもなく、あらゆる分野において質の高い治療を受けることが求められます。
私たちは精度にこだわり歯を残すための治療を行うだけではなく、患者さん個々のリスクに応じた予防歯科も行なう、未来へ歯を残すことを考える医院です。
歯を残すことをコンセプトとしているため状態が良くないとしても患者さんに状態を説明の上、希望されるのであれば残すことができるようトライしています。
結果、顕微鏡下での治療や精密な根管治療を行うことで抜歯せずに済む場合が少なからずあります。
ただ、治療により歯を生き返らせられる訳ではなく、私たちは現状に対し最善を尽くすことしかできません。
歯根が破折している場合などにより抜歯せざるを得ない場合がもちろんあります。
その際にはインプラントも選択肢として長期的なビジョンのもと”抜歯=インプラント”ではなく他の選択肢と共にメリットデメリットをフェアに説明しています。
インプラントへの考え方
現在都内ではオペにより麻痺などの事故にあった方や、亡くなった方がいるという情報等により近い方からインプラントはやめておけと言われ、 ”インプラントは考えていません” とはじめから言われる患者さんが増えています。
当院は上述のように歯を残すための精密な歯科治療に集中してきたため、そしてインプラントオペは患者さんにとってリスクのある内容となる場合があるため、オペに関してはスペシャリストをご紹介しています。
全てを抱えるのではなく専門分野との連携による総合的な治療を行っている理由をご説明します。
レーシック治療を受けたい
以前にも書いていますが私がレーシックを受けなくてはならない状態になったとします。
目は歯と同様に大切なものです。
事故がなく、その時が良ければ良いのでもなく、未来の目の状態まで考えてくれる先生に私は治療をお願いしたいと思います。
ただ、どの医院にかかれば良いのかを知ることができません。
以前にレーシックが問題となったように売り上げや利益を考え”多少状態が悪くてもオペをしてみる”ということがないとは言い切れません。
周辺同業と比べ口コミ件数が突出して多い場合も業者による広告投稿の可能性があるため素直には信用できず、人から評判を聞きどこにかかれば良いのかを調べますが自身の状態や望みに合う場合と合わない場合があり、それを踏まえ受診しなくてはなりません。
探したとしても”眼科医が自身のレーシックはあの先生に任せれば大丈夫という、レーシックを専門とする眼科医”に私が紹介なく出会える可能性がとても低いと感じるように、インプラントにおいても技術が飛び抜けている先生に患者さんが出会いたいと思ってもどこにかかれば良いのかわからないと思います。
つまり私がかかりつけの眼科に通っている中でリスクのあるオペが必要になった際、その眼科の先生から ”レーシックは選択肢であり状態を考えると少しリスクがあるけれども日常を豊かにします。希望されるなら専門とする眼科医を紹介します” と言っていただけることがあれば安心です。
歯科は眼科と異なり、症例写真によりどのような治療の質に治療を行なっているのかや完成イメージを持ちやすいためまだ医院を探しやすいと思います。(”引越しをされる患者さんへ”に私が感じる歯科医院の探し方を書いています)
それでも飛び込みでお願いするには不安を伴います。
歯は大切なものですからご自身が何を望まれているのかを考え歯科医院を探されることをお勧めします。
近いから、通いやすいからという理由も一つ。
ただ、”歯医者であればどこでも同じであり、内容は変わらない” というものではありません。歯科医師の得意分野の有無や経験数、治療歴でも受けられる治療の質は異なるため、症例写真にて情報を得られる現在では困られている患者さんは歯科医院を探し受診されています。
当院は歯を残したいという思いのある多くの患者さんに通っていただいていますが、歯の状態にもよるため全ての方のあらゆる希望に私たちが応えられる訳ではありません。ただ、場当たり的な治療を行うのではなく精密な審美治療と予防を含む総合的な歯科治療により可能な限り現状を維持することに努め信頼していただける患者さんと10年、20年を共に歩むことができたらと考えています。
インプラントが必要となった患者さんに安心して治療を受けてもらえる環境を
どこの歯科医院でもインプラントを行なっているように私たちもインプラントを行えるため当院にてオペを受けることができれば患者さんのストレスは少なくすみます。
また、インプラント治療費は高額であるため自身でオペまで行えばそれだけの医院の売上となります。
ただ、私たちは専門性が高く患者さんにリスクを背負わせるオペであれば、そして高い質の診療を行えるのであれば、全てを抱えるのではなく専門医との連携を積極的に行います。 矯正治療やリスクのある親知らずの抜歯も同様です。
当院がインプラントオペをスペシャリストに依頼する理由は自身や身内同様に大切な患者さんに安心、最善な治療を受けていただきたいと思うからです。
歯を残すことに特化し総合的な歯科治療を行う
インプラント治療を受けても、隣の歯を失えばインプラントを継ぎ足さなくてはならないため、患者さんは残る歯の保存治療においても高い質を求めています。
かかりつけ医として患者さんの歯を残すことを考えればあらゆる治療分野において精度にこだわる治療を行うことが求められていると思っています。
歯を残すためには、
・一つひとつの治療の質で歯の寿命を変える
・歯周病やむし歯、かみ合わせなどの抱えるリスクの管理
・中長期で生じる口腔内状態の変化に応じる重症化予防
が欠かせられません。
保険外診療での高い治療費に見合う精度ではない場合や、ただクリーニングを定期的に受けるだけでも歯を守れない場合が多々あります。
お口の中全体や未来の状態を考え、インプラントに関しても総合的な歯科治療の一部として質の高いオペを依頼し、当院では精密な歯科治療、かみ合わせや歯周病、その後のメンテナンス、そして他の歯を失わないための患者さん個々に応じる予防に努めることが現在の診療スタンスです。
インプラント治療の質
インプラントにおいても審美治療と同様に質は様々です。
むしろ歯肉や骨も影響するためセラミックスなどの治療より難しい内容となります。
オペに際し、例えば骨をつくらなくてはならない状態に骨をつくるということができなければインプラントを打てる部位に打つことで本来の理想的な歯の位置、形、かみ合わせとは異なる結果となります。
そのため当院がオペを依頼する歯科医は私自身にインプラントが必要となった際にお願いをする歯科医であり信頼する歯科医です。
”以前にインプラントを受ける医院を探してインプラントを受けました。ホームページにのっていたインプラント治療本数を見てその医院は経験があると思いました。”
ただ、数年が経つとネジ部分(インプラント体)が露出していたり、クラウンが合わない形であったりとインプラントオペに特化していたとしてもクラウンやかみ合わせ、審美的な完成は別物であり質が伴わない場合もあります。
だからこそ私たちには患者さんに自身が受けたい治療を提供するためインプラントオペに関しても”私が信頼する歯科医”ということだけではなく症例写真などの基準も合わせた歯科医をご紹介しています。
”歯を失う=インプラント” ではない
インプラントに関してはオペをしてから10年、20年周囲に変化がないことが当たり前ではなく、そして骨と結合するため対応が困難な場合も生じる可能性があるため、ブリッジや入れ歯も含めフェアに選択肢を説明しています。
その方の年齢や口腔内状態、今後20年後を見据え今なにが最善と考えるのかも説明をしています。
豊かな日常を送ってもらうために歯や口腔内の現状とそれぞれの治療のメリットデメリットも理解して納得していただいた上で一緒に歩むことを第一に考えています。
いずれにしろ歯を抜かずに活かすことができればそれが患者さんにとって最善と考えているため、まずは可能な限り歯を残すことができるよう努めています。
インプラントは素晴らしい治療です。
入れ歯にしなくて済みますし、前後の歯を削ることに抵抗がある方にブリッジという治療法の代替案となるからです。
ただ、まずはオペが無事に終わるため術前診査や計画がとても重要ですし、インプラントをすれば終わりではなくいかに長く良い状態で維持させられるかも考えなくてはなりません。
以前に他院にてインプラントをした患者さんは、現在でも問題がない場合ももちろんありますし問題が起きている場合も多々あるという現状を私は見ているため私自身はやはり歯を大切にして生涯インプラントを受けずに過ごしたいと思っています。
価値観や口腔内のリスク、日常に不便を感じられているかどうかなど人それぞれです。
歯を失い困られている方には日常の豊かさ、何を大切にしたいのかなども相談しながら10年、20年先を一緒に見て診療に取り組んでいきたいと考えています。
歯を残したい、残すためにも精密な審美治療を受けたい、前歯を治したいなどの思いがある患者さんに来院していただいており予約をとりにくい状況となっています。
かかっていただいている患者さんの診療を優先するためセカンドオピニオンの受付は中止しています。
また、当院にかかられていてインプラントが必要になった患者さんにインプラント専門医との連携を案内しています。
当院にかかられていない方に電話等でお問い合わせをいただいても紹介先はご案内していませんので予めご了承ください。
予約をとりにくい状況が続きご不便をおかけしていますが、予約改善のための勤務医を雇用していない理由についてにも書いているように歯医者であれば歯を任せるのは誰でも良いと私自身が治療を受ける際に思えないため、関われる患者さん数は限られてしまいますが信じて任せていただける患者さんに応えることができるよう、これからも一人ひとりの診療に集中して取り組みます。
予約を取りにくい状況の中、皆様には日頃からご理解をいただき感謝をしております。
・つながった差し歯で完成となってしまった前歯の再治療
ずっと気にされていた前歯の治療を希望され受診されました。

前歯が完成し帰宅したその晩にフロスが入らず、差し歯がつながっていることに気づいたとのこと。
フロスが入らないことを相談するとこういうものですという言葉で終わりにされてしまったとのこと。

歯の状態により、連結することがないとは言えませんが当院では基本的には1本ずつの完成とします。
なぜなら磨きにくい、ケアが難しいだけではなく、この方のように顔の真ん中の治療であれば形も不自然になってしまうからです。
シャープな感じはなく、丸みを帯び卵のような形となってしまっています。
歯を折らないためにも、色が暗くならないためにも当院では保険外診療では前歯に金属を用いることはありません。
綺麗に長持ちする治療を提供できるよう努めています。
・セラミックスクラウンについて
歯の形を整えた後精密な型取りを行い、歯の色も極力合わせることができるよう他歯の写真を撮影、次回完成となります。精密な治療とセラミックス専門の技工士により天然歯を再現するような完成を目指しています。
いつかむし歯の再発が起きたり、セラミックスが欠けるなどのことがあれば再治療が必要となる場合があります。保証制度を設けておりますので治療前にご確認ください。
治療回数は3回 治療期間は7日〜3週間 (ただし根管治療等が必要な場合には回数がかかります)
治療費100,000〜160,000円(税・コア代別)
詳しくは“治療費について“ページにてご確認ください。また、根管治療やコアの治療回数、治療期間、治療費は上記に含まれていません。
治療前後の写真は治療後の写真がいつもの場所で噛んでいるものに対し、治療前の写真が歯を前にずらしどこでかみ合わせが当たるのかを見るための写真となっているため術前後で写真の印象が異なると感じられる可能性があります。
・多くの方が悩まれている、生え際が黒い前歯クラウンについて 10年経過症例
当院のセラミックスクラウンでは ”歯肉との際の段差、黒く見える審美障害が起きにくい治療” を行なっています。
それは当院の特徴の一つです。
歯肉にも優しく、クラウンを長持ちさせることにつながる歯を守るための治療でもあります。
生え際の暗さが気になるためやり直したい
クラウンの色や形が合っていないことと同様に、生え際の黒さが気になるためセラミックスクラウンをやり直したいという方はとても多く、歯を残すことはもちろんのこと綺麗に治したいと願われているためページ下部にて術前術後と合わせ10年が経過した症例をご紹介します。
治療の質を示す症例写真を見せる医院はまだ少なく、更新する医院、そして10年経過を見せる医院は更に限られています。
どのような完成となるのか、そして年数が経った際にどのような状態である可能性があるのかを術前に知ることが患者さんの安心につながるため当院では治療写真をお見せしています。
歯の状態にもよりますし経年的な変化もあるため全ての方に約束できるものではありませんが当院では任せていただく方の笑顔のサポートをするだけではなく少しでも長く綺麗に歯を活かすことができるよう努めています。

上の写真の前歯のように差し歯の形や軸、厚みや色が合わないだけではなく、この後の写真も同様に差し歯の際が見える状態をどうにかできないかと多くの方が悩まれています。
そのような方々は次に治す際にどこにかかれば歯のためだけではない審美的な治療を受けられるかが分からず不安に感じられています。
そして綺麗な完成を得られるかだけではなく、今までと同様に黒く際が見えるようになってしまわないよう中長期的に維持できるかどうかも知りたいと思われています。
大切な歯を任せる医院を探し、先日は関西からも患者さんが来院されました。
今まで行ってきた治療例を写真と合わせブログに書いていますので つながった差し歯で完成となってしまった前歯の再治療 やHP左側の治療ブログカテゴリーもご覧ください。
患者さんの状態にもよるため全ての方に応えることができるかは分かりませんが2012年の開院以来、患者さんの笑顔をサポートできるよう努めてきました。
歯周病、根管治療、むし歯の治療など歯を残すという目的を持つ治療と、その上で審美的である治療を行なっており今回は前歯の治療について実際に私が行なった治療とその経過をご説明します。
下の写真のように差し歯の際が見えてしまう理由としてはコアに金属を用いていたり、差し歯の精度が低く不適合であり歯肉との際に段差がある(型取りの方法、精度不足)、段差に溜まる汚れにより歯肉が腫れ後退した、差し歯自体にも金属を用いているなどの理由が挙げられます。
当院では歯肉圧排とシリコン印象、精密な歯の形成によりこのようなことが可能な限り起こらないよう努めるだけではなく、症例写真を更新するようにしています。
”どのように治るのか”や治療の質を見ていただくことで完成のイメージを共有しゴールを一緒に喜びたいという思いがあるからです。
実際に私が行なった2例の治療をご紹介します。

この方は20代女性で、幼い頃に前歯を事故により一部破折したことで神経を失いご両親がセラミックス治療を選択された方です。
ただ、セラミックスの精度が高くなかったこともあり、数年が経ち、このように歯肉が下がりセラミッククラウンの際が黒く不適合を主張する状況となったため、治療を任せていただきました。

前歯は顔の一部であるため歯を残すための審美治療により歯のことを忘れ、笑い、食事をできるようになることでその方の人生が変わる可能性があります。
当院ではただ白いのではなく極力自然な完成や、少しでも長く良好な経過をつくることができるよう努めています。
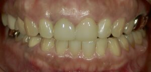
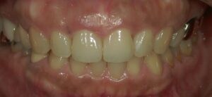
この写真は前歯セラミックス治療の10年経過症例です。

開院してすぐにいらしていただいた患者さんです。
写真では右側(患者さんにとっては左上)2番目の前歯を治したいという希望があり10年前にセラミックス治療を任せていただきました。
上の写真は術前と術後です。
当時も術前術後写真を了解得た上でホームページに載せましたが、完成から10年が経ったので変化を確認するためにも写真を撮らせていただきました。

他の方の役にたてるのであればと快く写真の掲載に了承をいただきました。
ありがとうございます。
この方の前歯の差し歯の生え際は10年が経過しても黒く見えていないことがお分かりいただけます。
15年前から大切に使っている、当時と同じカメラでの撮影です。
10年後の写真は若干暗い印象がありますが、10年前と比べ歯肉のメラニンが以前より多少濃くなっていることが確認できます。
また、10年の月日により正面の前歯が若干本人左に流れた印象を受けます。
治したセラミックスが多少白く見えるのは他の天然歯のトーンが落ちて暗くなったためと考えますが、接着セメントの色の変化が関係していないとは言えません。
この方は10年もの間、歯周病重症化予防とむし歯予防のため診させていただいていますが、新たな治療をほとんどせずに済んでいます。
修復物の再治療や新たなむし歯、歯周病の進行がなく済む。
その年月の積み重ねが歯の喪失を遅らせ80歳で自身の歯で笑い噛むことにつながります。
長く診させていただいている患者さんが当院には多く、自分が行った治療の経過を確認させていただけています。
そのことが日々の診療の質や経過に裏打ちができ、より良い治療を探ることになるため、これから治療を受ける患者さんにもプラスとなります。
10年前と比べ接着もマテリアルも良くなっていますが、(セメントの色が変化しにくいとされる接着の登場により現在使用するセメントは10年前と異なります)今回の写真による確認では同様の治療を受けた患者さんの経過を注意して見ていきながら接着セメントの選択を考えるきっかけにもなります。
患者さんにも学ばせていただきながら今があり、これからがあります。
歯科治療は単純な作業ではなくとても難しいものですが、これからも困られている方の力になれるよう成長を続けていきたいと思います。
皆さま、いつもご理解をいただきありがとうございます。
・セラミックスクラウンについて
歯の形を整えた後精密な型取りを行い、歯の色も極力合わせることができるよう他歯の写真を撮影、次回完成となります。精密な治療とセラミックス専門の技工士により天然歯を再現するような完成を目指しています。
いつかむし歯の再発が起きたり、セラミックスが欠けるなどのことがあれば再治療が必要となる場合があります。保証制度を設けておりますので治療前にご確認ください。
治療回数は3回 治療期間は7日〜3週間 (ただし根管治療等が必要な場合には回数がかかります)
治療費100,000〜160,000円(税・コア代別)
受けたいセラミックスのクラスを“治療費について“ページにてご確認ください。また、根管治療やコアの治療回数、治療期間、治療費を含んでいませんのでご注意ください。
« Older Entries









