・デジタルを用いる歯の型取りについて
近年歯科医療においてもデジタルの進化により用いることが増えてきました。
歯の型取りも口腔内スキャナーを用いることができるようになってきています。
審美的にも良好な状態を少しでも長く維持するために
修復物と歯に段差がある完成では細菌も溜まりやすく、下二つ目の写真のように見た目不良はもちろんのこと歯肉の炎症やむし歯の再発進行が起こりやすくなります。
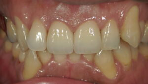
当院では10年が経過したセラミックス症例のように審美的にも良好な状態を少しでも長く維持できるよう型取りにこだわりを持って取り組んでいます。
新しい技術が革新的なものであれば良いですが、そのような型取りはまだデジタルでは難しいため当院では導入を見合わせています。
修復物の精度は型取りの精度にもよる
型取りの精度は歯の寿命に多大な影響を与えます。
そのため、当院はセラミックスクラウンやインプラント治療において歯肉圧排・シリコン印象材を用いる、精度にこだわる型取りを行なっています。
歯の周りに糸を巻き歯の際まで精密に型を採ることが修復物の精度を高めるからです。
私と修復物をつくるセラミックス専門の技工士にとってはデジタル分野の進歩はまだ最中であり、歯肉の下にある歯の際の細部にまで精密に再現する歯型の作製は現状通りの型取りが優れていると感じています。

当院では歯肉と調和するセラミックスクラウン作製に努めることで再治療を可能な限り防ぎ、また、経年的に歯肉が多少退縮しても修復物の際が目立ちにくい治療を行なっています。

歯型の精度や修復物の精度が低いと、上の写真のように歯と歯肉の際にステップが生じます。
それは細菌が溜まりやすい状態となるため、見た目の不良だけではなく
歯肉や歯、隣在歯にも悪影響を及ぼす可能性があります。

歯型を採る際に歯肉圧排、シリコン印象を当院が用いる理由は、
上の写真のような完成をつくるためです。
スキャナーを用いる型取りのメリットは、技工士とのやりとりがデジタルになるため楽になる、嘔吐反射がある方の負担は軽減することなどであり、修復物の精度と引き換えとなるほどのメリットを現状では感じていません。
今後数年が経過し更なる改良を得るのであれば導入を考えますが、現状では症例写真のような精密な歯科治療を行うため上記理由により歯肉圧排・シリコン印象法を行なっています。









