症例集

[su_note note_color=”#f6d580″ text_color=”#333333″ radius=”3″ class=””]より安心して治療に臨んでいただけるよう医療法の改正に伴い当院が提供する歯科治療について書かせていただいています。そちらも合わせてご覧ください。[/su_note]

画像をクリックすると各ページに移動します。

■歯肉圧排・精密審美治療について

■精密歯科治療は、結果的に審美的であり歯を守るための治療となる

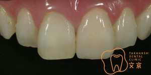
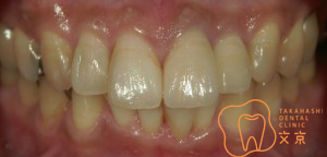
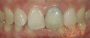
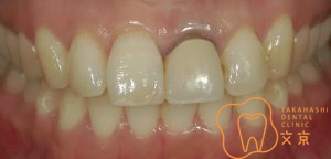
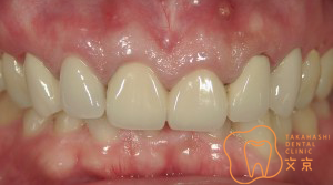
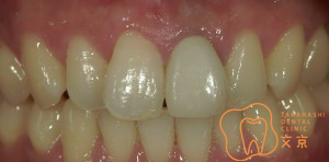
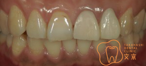
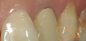
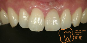
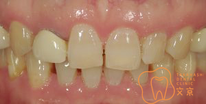
■前歯を治したい。 オールセラミックスによる審美治療

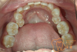
■精密な型取りへ

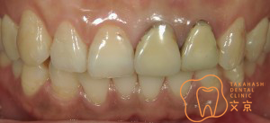
■前歯を治したい。40代男性 オールセラミックスによる審美治療

■審美用強化プラスチック治療のご案内

■歯の基礎となるコア 接着性能を向上させたファイバーコア


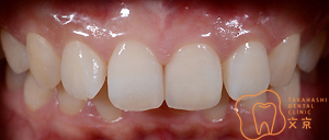
■前歯を治したい 精密審美治療・セラミックス治療

■神経を残していくという目的を持つ、特別なむし歯治療  歯髄保存治療

■前歯 精密審美治療

■前歯のセラミックス治療 審美治療

■歯の寿命を変える、むし歯治療

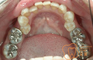
■しっかりと咬みたい。入れ歯を目立たなくしたい。歯科総合治療

■奥歯でのつめもの治療 歯に優しい精密審美治療・精密歯科治療

■前歯のプラスチック治療

■金属アレルギーの方へメタルフリーの安全性を

■根管治療は歯の寿命を左右する

■前歯のオールセラミックス治療

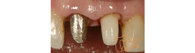
■前歯に後悔、、、

■保険の前歯を直したい

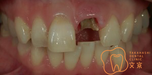
■前歯が折れてしまった、、、

■カリバ

■高橋歯科クリニック文京的”きれい”

■Hybrid

■銀歯の取り替え