・仮歯の質は、完成の質を表す 前歯セラミックス治療
複数本の前歯やブリッジなどの大きな治療ほど仮歯が大切になります。
今回は仮歯の重要性についてお話しします。
仮歯の質は完成するセラミックスの質を表すものとして、当院では治療中の過程も大切にしています。
前歯は笑顔や第一印象の一部となるためとても大切なものです。
セラミックスであれば綺麗というものではなく、そのセラミックスをどう活かすかを当院では考えています。
患者さんは誰もが自然であり綺麗な完成を望んでいます。
そのような完成をつくるため当院では仮歯で厚み、長さ、大きさなどの印象を詰め、完成イメージを患者さんやセラミックス専門の技工士と共有した上でセラミックスを作製しています。
仮歯は大きな絵を描く際の下書きのようなもの
特に複数本数の治療の場合、仮歯を患者さんが気にいることがなければ、また、仮歯の質が低ければどのような完成になるのか患者さんは不安を感じます。
実際に完成したセラミックスに納得できず、新しくつくってほしいと初診来院される方はとても多くいらっしゃいます。
完成の質を仮歯は表す
前歯の治療を受ける際には、どのような審美的なイメージを歯科医師がもって治療に取り組んでいるのかを術前に症例写真にて確認することが大切です。
セラミックス治療にも精度や質があり、セラミックス治療=審美治療ではないため、どのような治療を受けたいのか、どのような治療を受けられるのかを確認してから受診することが現在ではスタンダードとなってきています。
当院では1本の歯を見るのではなく、口腔内全体を診て自然で笑顔と調和する完成をつくることを目標としています。
口腔内全体を見て専門的な審美治療を行なう医院の多くは症例写真を出しているため、前歯や複数本数の治療を希望される方は術前にどのような治療を受けられるのかを確認することをお勧めします。
当院では治療の質や審美的なイメージを症例写真で明示するだけではなく、完成イメージを患者さんと治療中も仮歯にて共有し、喜んでいただける治療結果をつくることができるよう努めています。

セラミックスの再治療を希望された患者さん
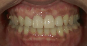
上下ともに同じ術前写真ですが下は緑色の線にて患者さんが感じていた違和感を示しています。

術前の写真もセラミックスによる治療ですが、色が浮き、歯肉との際に段差があり審美的に不調和を感じさせ、かつ4本とも顔の左側に歯の軸が流れていることで、顔が曲がっているような違和感(縦の長い線は正中・体の真ん中を示しています)を会話する相手に覚えさせてしまう状態でした。
セラミックスが完成した後に患者さんは感じます。
もう少し厚みがなく、出っ歯にならないようにできなかったのか。
人工的ではなくもう少し自然な色でつくってもらえなかったのか。
大きくぼてっとした形ではなく天然歯のような形でつくることはできなかったのか。
歯肉との段差や際の暗さがでないようにできなかったのか。
歯並びを合わせる完成はつくることができなかったのか。
1本の修復であっても治療の仕方で厚みや修復物の寿命、色や質感は変わりますが複数本数の治療となると難易度は上がり笑顔との調和も求められます。
上記のような思いを患者さんにさせることのないよう当院では仮歯にて完成のイメージを共有しているのです。

術前

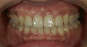
治療開始日に仮歯に置き換えた写真
仮歯にて厚みや軸、サイズを確認します。また、笑顔に調和しているかも確認します。
この状態で根管治療を行うため治療期間はかかりますが日常に支障はないように努めています。

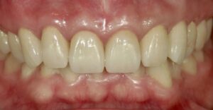
セラミックスクラウンの完成です。
仮歯で歯の長さや形、厚みや軸が合っていると、あとはそれを技工士がトレースするように完成をつくることができます。
笑顔や綺麗に見える、口元に合う仮歯がなくては情報が足りず術前の写真のように曲がった完成となったり、技工士頼りの完成となってしまいます。
仮歯の時点で厚みがあれば多くの場合で完成も同じかそれ以上の厚みとなるように、仮歯にて完成のイメージを共有することが患者さんにとって安心となるため仮歯にも質が求められるのです。
複数本数の治療は上述のように難しいものである上に、いつか1本でも再治療が必要となった場合には大きな問題となるため審美的なことはもちろんのこと、長持ちをさせることができるよう根管治療、歯周病治療、かみ合わせ等、関わる治療全てにおいて精度を高めることができるよう努めています。

歯肉や歯と調和させるための型取り シリコン印象
最近では光学印象という撮影による型取り法もできるようになってきていますが、当院では導入していません。
歯肉との際に段差が可能な限りない完成をつくることが歯周病進行や歯肉の退縮を抑制し、なにより生え際に生じるセラミックスとのギャップによる見た目の違和感を起こしにくい完成をつくりたいと思っています。
安価ではないセラミックス治療ですから、患者さんにも喜んでいただけるよう私自身が受けたい治療を行なっています。
年数が経過しても可能な限り自然できれいな状態を維持し、可能な限り再治療しないで済む治療を行いたいと考えているため精度の高いシリコン印象法を当院では行なっています。
仮歯とは言え、それは完成の質を左右するのです。
当院ではセラミックス治療の完成に納得していただけるよう完成イメージを過程において共有し、患者さんとセラミックスを専門とする技工士と完成を共につくることができるよう努めています。
この患者さんは審美歯科にて前歯を6本削り、セラミックス治療を受けた方です。

歯の軸は曲がり、サイズも正方形のような形であったり統一感がなく、かつセラミックスが連結されているケアが難しい完成であり、歯肉との境界の不適合なセラミックスの部分、歯肉に隠された生え際にはむし歯がある状態でした。
左上前歯が膿んできたこともあり再セラミックス治療を希望されました。

歯肉の中の歯根にあるむし歯に治療を行い根管治療や歯肉の形を整えた上で、第一印象に重要な前歯のサイズや軸を合わせセラミックス治療を行いました。
複数本数の治療は口腔内全体はもちろんのこと、表情までも診る治療が求められます。
患者さんに現状の説明と提案を行いゴールを共有して進む治療を行うよう努めています。
・セラミックスクラウンについて
歯の形を整えた後精密な型取りを行い、歯の色も極力合わせることができるよう他歯の写真を撮影、次回完成となります。精密な治療とセラミックス専門の技工士により天然歯を再現するような完成を目指しています。
いつかむし歯の再発が起きたり、セラミックスが欠けるなどのことがあれば再治療が必要となる場合があります。保証制度を設けておりますので治療前にご確認ください。
治療回数は3回 治療期間は7日〜3週間 (ただし根管治療等が必要な場合には回数がかかります)
治療費100,000〜160,000円(税・コア代別)
受けたいセラミックスのクラスを“治療費について“ページにてご確認ください。また、根管治療やコアの治療回数、治療期間、治療費を含んでいませんのでご注意ください。









