口臭へのアプローチ
先日、セラミックスを用いる精密歯科治療と歯周病の治療を行っている患者さんがとても嬉しそうに報告をしてくれました。
”以前に主人に口臭を指摘され、タニタの口臭測定器を購入し気になる時に測っていました。胃も検査をしていて問題ないことを確認していて、、ただ、どれだけ磨いても数値が0になることはなかったのですが、久しぶりに測ってみたら初めて0でした! 高橋歯科に通いだして悪い歯を治していただいたことくらいしか変化はないので私は治療による効果だと思っています。しっかりと治療をすることが綺麗になるだけではなく良いことばかりなので本当に嬉しいです!”
精密な歯科治療によりケアをしやすい環境をつくることができるよう努めていますが、このように喜んでいただけて私も本当に嬉しくなりました。
歯科領域ではどのような状態が口臭に影響を与えているのでしょうか?
口臭は今ではタニタの測定器などでいつでもお手軽に確認することができます。
ただ、測定をして現状を知ることができても、その数値をどう下げられるかが重要です。
口臭は全身疾患が原因の場合や生理的な口臭、心因的なものなど歯科領域が関係のない場合もありますが、お口の中の原因による場合も多々あります。
進行した歯周病や不適合な治療修復物などの原因により、頑張って歯磨きをされていても解決に至っていない場合が多く、ただ、歯科医院にて一般的な治療やクリーニングをしているだけでも解決に至らない場合もあります。

このような不適合な修復物の中に潜むむし歯が口臭の原因になっている場合もあります。

また、このような不適合な修復物の周囲は細菌が残りやすく歯周病も進行しやすい環境です。
当院での歯科領域での口臭へのアプローチとしてはクリーニングなどの一般的な口臭対応だけではなく、患者さんご自身では対応できない歯周病やむし歯の治療において質を追求することで口臭の原因となる菌を減らすということを行っています。
実際にどのような歯科治療が口臭軽減につながるのでしょうか?
まず、歯科領域での口臭の主な原因となる歯周病の状態確認と治療を行います。
それは口臭軽減のためだけではなく、歯肉から血が出るような環境では通常の歯科治療においても質が落ちてしまうためです。
(当院ではクリーニングだけではなく、歯周病菌にアプローチをするより効果的な歯周病治療も行っていますので状態を知りたい、歯周病が治らないためより何ができるのかを知りたいという方はご相談ください)
また、精密な歯科治療によりケアをしやすく清潔な環境をつくることが、歯の寿命を変えるだけではなく口臭にも良い影響を与えます。
つまりお口の中の悪さをする細菌をいかに減らすことができるかが歯の寿命や口臭、むし歯、歯周病リスクを変えるのです。

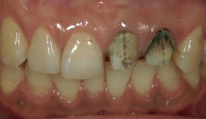
精度不良な歯科治療では
・上の写真のように歯肉近くにステップがあり菌が溜まり歯肉が腫れる
・頑張って磨いているのに合っていない修復物によりフロスなどで必ず血がでる場所がある(歯周病・歯肉炎の進行による)
・不適合な修復物の周りからむし歯が再発する
などのトラブルが生じやすい環境となってしまいます。

(保険での前歯を除去するとその中はこのような状態でした)
治療によりむし歯などの問題が解決したとしても、問題が起こりやすい原因、環境を変えることができなければ口臭軽減効果が少ないだけではなくこれからも細菌によるむし歯、歯周病等のトラブルが繰り返されてしまいます。
ケアをしやすい環境をつくることがむし歯だけではなく、歯周病や結果的に動脈硬化などからもからだを守りやすい環境もつくるため、当院では可能な限り治療の精度、質を高めることができるよう努めています。
では、どのような歯科治療が”精度が高い治療”なのでしょうか?
今では医療機器だけではなく様々な機器が進化し、歯科治療の写真、症例写真を撮ることが当たり前になってきています。
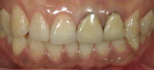
症例写真の見方としては、治療による銀歯、セラミックスの完成が精度が高く、歯肉ともなじみ、天然歯のように見えるほどケアをしやすく長持ちする環境が整っていると言えます。
歯はあるのが当たり前ではなく、”歯を残す”ということはとても難しいこと
だからこそ、むし歯治療、歯周病治療、根管治療、審美治療、かみ合わせ治療など様々な歯科治療において歯を長持ちさせることができるよう精度にこだわり、インプラント、リスクの伴う抜歯、矯正などの専門性が高い治療は医療連携を取りながらあらゆる歯科治療において質の高い歯科医療を提供することができるよう努めています。
根管治療にこだわりがあってもセラミックスの精度がその治療の効果に良くも悪くも影響を与えます。
歯周病の治療においてもクリーニングを行うだけではなく、菌が増えやすい環境を改善することを目的として精度の高い治療を行うことが歯周病治療の効果を上げ、より良い環境をつくります。
治療の質を確認していただけるよう症例写真を更新しています
当院では治療の精度を症例写真にて受診前に確認することができるようにしています。ただ”治ればよい”という思いではなく、抱えられているリスクに対応し歯を長持ちさせたい、きれいに治したい、しっかり治したいなどの思いがあれば受診前に症例写真をご確認の上ご来院ください。
口臭のお話に戻ります。
この患者さんの場合、精密な歯科治療が効果的だったために口臭が軽減されたとも考えられますが、他の要素による可能性も考えられます。
これから先のいつか、”全てを精密な歯科治療で治せば口臭がなくなりますか?”と患者さんから聞かれることがあれば、改善する可能性はありますがなくなりますなどと言うことはできませんとお答えします。
ただ、口臭が気になると奥様からご主人をご紹介いただいた患者さんも銀歯を全てセラミックスに置き換える治療が終わり、口臭が気にならなくなったとご夫婦で喜んでいただいた方もいらっしゃいます。
銀歯がなくなり、ケアしやすい環境がつくられ、綺麗にもなって嬉しい気持ちがモチベーションを上げ更にケアが上達する、そのような環境は治療前とは比較にならないほど気持ちのよい状態となります。
審美的な要素だけではなくお口の健康状態が良くなり、患者さんから喜びの言葉をいただけることに歯科医師として幸せを感じながら精密な歯科治療にやりがいを持って診療しています。
歯周病細菌数を測る検査も行っていますので、何かできないかと感じられている方は抱えている悩みや不安をご相談ください。









