Archive for the ‘医院からのお知らせ’ Category
・2月1日、8日 休診のお知らせ
ご迷惑をおかけしますが2月1日と8日は休診とさせていただきます。
宜しくお願いいたします。
・診療チェア前に大画面を置かない理由について
最近の歯科医院の多くでは診療チェア(診察台)の前にレントゲンが大きく映るモニターが配置されています。
見学に来られた歯科関係の方から先日聞かれることがありました。
”このように進んでいる歯科医院でなぜ診療室にレントゲンモニターを置かないのでしょうか?”
確かに見栄えが良く最先端な設備を有する空気を醸し出すことができるため、ほとんどの歯科医院で大きなレントゲンモニターを患者さんの前に置いていると思います。
ただ、私が患者さんの立場であれば目の前にレントゲンを大きく見せられることは素晴らしい設備と思う前に、自身の状態を見たくない患者さんもいると感じるため設置していない旨を伝えました。
私がもし歯にコンプレックスを持っていたら、”起き上がる度に目の前に傷んだ状態のレントゲンを見せられる” ことで後悔などのネガティヴな思いを抱きます。
また、お口の中のことは人には知られたくないものですから、それを複数スタッフや後ろの通路を通る他の患者さんに見られることにも複雑な思いを抱いてしまいます。
レントゲンをいつでも確認できる環境をつくるためであれば大きなモニターである必要がありません。
見たい、見せたいというニーズが患者さんと歯科医院との間に成り立っているのかを大事にしたいと考えているため開院以来、操作説明しやすいipadや説明用パソコンにてレントゲンの説明を行い、診断・治療時も確認をしながら診療できる状況下にあります。
個人情報保護という観念においても本人以外の人の目に触れる必要がないものに関しては体のことですから配慮をしています。
実際に、お口の写真や状況は見たくないと言われる患者さんは多くいらっしゃいます。
ただ、共に状態の確認することなく ”むし歯があるから削って治療しておきます” などということは当院ではあり得ません。
当院では状態を説明し患者さんと共有してから治療を行っています。
私自身も治療を受ける際には大切な歯のことですから納得して治療を受けたいからです。
レントゲンや口腔内状態を自身に説明するつもりで診療を行っていますがもし分かりにくいことや不安等あればお教えください。
補足となりますが、顕微鏡を使う歯科医院として顕微鏡がある部屋には診療補助スタッフもモニターを見れる環境を確保しています。普段はレントゲンによる口腔内状態をモニターに映してはいませんのでご安心ください。

・治療実績でもある症例写真が見れる医院へ
当院はどのような質の治療を行っているのかを患者さんが確認できるようホームページに症例写真をのせています。
”歯を残す治療”、”審美的な治療”、そのような言葉を裏付けるためには症例写真が欠かせないからです。

どこに治療を任せれば良いのか分からない
例えば差し歯が合っていない方は
”きれいに治したい。歯を残すための治療を受けたい。
そのためには治療費がかかる可能性があることは理解している。
だけれども、もし今の差し歯と同じような完成であればかかった治療費が無駄になったと感じてしまう。
今の差し歯もセラミックスだときれいに治ると書いてあった。
そう考えると毎日歯を気にする生活を送っているけれどもどこにかかれば良いのか決断できない。”
多くの方がそのように感じています。
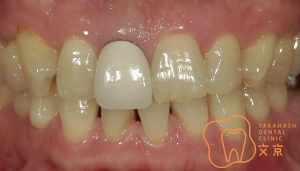
この写真の方も埼玉から前歯を任せる医院を探して来られました。
歯を残すために歯科治療の質はとても重要な要素ではありますが、特に前歯などの審美治療では歯科医師の技術、歯科医師の持つ審美的な感覚(どのような治療を歯科医が審美的と感じているか。上の写真も当院と同じような治療費がかかったセラミックスとのこと)が患者さんの望む治療・完成と合っているのかも重要です。
完成してみないとどのように治るのか分からない。ではなく、どのような治療を受けることができるのかを患者さんが事前に確認しイメージを重ねるためには症例写真が必要です。
(当院の差し歯・クラウンは精度の高い型取りを行うことで際が暗くなることを極力防ぐことができるよう努めていることも特徴です。 → 多くの方が悩まれている、生え際が黒い前歯クラウンについて 10年経過症例 )
歯科医院ごとに得意とする治療分野や、行われている治療の質も異なる
”お引っ越しされる患者さんへ” にも書いていますが歯を残すためには治療の質が関係するため症例写真が見れない、更新がない場合にはどのような治療を受けることができるか分からず、私自身が患者さんだとしても不安になるため症例写真を更新しています。

高い精度の治療は厚みや形なども天然歯に近い完成となり調和しているように見えるため歯を残すための治療を行うことが、結果的に審美的な完成にもつながります。
当院は様々な治療の症例写真を見せているように総合的に質の高い治療を提供できるよう努めており、特に歯を残すための精密な歯科治療、精密審美治療、根管治療や歯周病治療を得意としています。
例えば根管治療にこだわりが強くてもセラミックスなどの治療の質が低ければその効果は薄れるだけではなく見た目にも結果は伴わないことがあります。またセラミックスにこだわりがあっても根管治療や歯周病、かみ合わせなどの治療の質も伴わなくては長持ちせず再治療となる場合もあります。
歯を残すためには総合的に質が高くなければならないため良い言葉を並べるだけではなく裏付けとして受診前に症例写真を確認できるようにしています。
歯を残したい、きれいに治したいなどの思いのある方へ
当院には症例写真を見て遠方から通ってくださっている方もいらっしゃいますが、そのような困られている患者さんは症例写真のように治してほしいと希望される方であり、審美だけではなくかみ合わせ、歯周病、根管治療も含めた総合的な治療を希望される方々です。
患者さん一人ひとりお口の状態や悩みは異なります。このような治療ができるという様々な症例写真を更新することで、少しでも多くの患者さんに抱える悩み・歯の状態と重ねて見ていただけたら幸いです。
当院でもできること、できないことが歯の状態によりありますが患者さんの抱える不安を取り除くことができるよう説明、治療を行っていますので予約をいただいた際には状態や診療の流れをご説明します。(初診当日は説明だけとなる場合もあります)
・セラミックスクラウンについて
歯の形を整えた後精密な型取りを行い、歯の色も極力合わせることができるよう他歯の写真を撮影、次回完成となります。精密な治療とセラミックス専門の技工士により天然歯を再現するような完成を目指しています。
いつかむし歯の再発が起きたり、セラミックスが欠ける、歯が折れるなどのことがあれば再治療が必要となる場合があります。保証制度を設けておりますので治療前にご確認ください。
治療回数は3回 治療期間は7日〜3週間 (ただし根管治療等が必要な場合には回数がかかります)
治療費100,000〜160,000円(税・コア代別)
受けたいセラミックスのクラスを“治療費について“ページにてご確認ください。また、根管治療やコアの治療回数、治療期間、治療費を含んでいませんのでご注意ください。
« Older Entries









