前歯が折れてしまった、、、
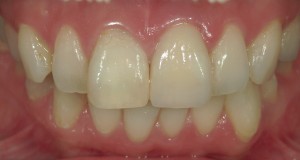
来院時写真です。

前歯がぐらぐらするとのこと。

患者さんは20代女性。
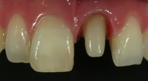
ぐらぐらの歯をとるとこのように歯ぐきの深く、歯根の一部まで折れていました。
上から見るとこのように唇側の深いところまで根が折れ抜歯になってもおかしくない状況であることがわかります。

まだ年齢も若い女性のためブリッジやインプラントせず、抜歯しない治療法を選択しました。
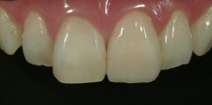
オールセラミックスの完成です。
色や形をとても気に入っていただいたため修正を加えることなくつけました。

折れた場所が深く歯科用語になりますが生物学的幅径を確保するため歯ぐきや骨を整える手術を行い
その後は仮の歯で歯ぐきの形を整えます。

右の前歯がもともとねじれて生えているため歯の長さや形に不調和を覚えますがそれも個性。
むし歯の治療を受けている歯ではありますが、患者さんは気にされていないので今回はさわりません。
左上の今回の歯は他の前歯と調和するようつくっています。

歯科的な話をすると、歯冠歯根比の問題がありextrusionはしませんでした。
抜歯してインプラントやブリッジも患者さんは望みません。
短期間で、そしてからだや経済的にも負担が一番少なくて済む治療法を選択しました。
つまりそれが患者さんが望まれた治療です。
現在ある状況でいかにベストをつくせるか。そしていかにベストをつくれるか。
それが長く歯科医院を開く覚悟だと思い取り組んでいます。
・セラミックスクラウンについて
歯肉圧排をし歯の形を整えた後ダブルコード・シリコンによる精密な型取りを行い、歯の色も極力合わせることができるよう他歯の写真を撮影、次回完成となります。メタルボンドを使用する際には中の金属の貴金属の含有量の違いでスタンダードかプレシャスクラスか異なります。オールセラミックスではスタンダードでのemaxかジルコニアを用いています。いずれも精密な治療とセラミックス専門の技工士により天然歯を再現するような完成を目指しています。
肉眼での治療とは異なるため長持ちする治療法ではありますが、人工のものですからいつかむし歯の再発が起きたり、セラミックスが欠けるなどのことがあれば再治療が必要となる場合があります。保証制度を設けておりますので治療前にご確認ください。
治療回数は2〜3回 治療期間は7日〜3週間
この方の場合根管治療から完成まで約3ヶ月でした。
治療費100,000〜160,000円 受けたいセラミックスのクラスを“治療費について“ページにてご確認ください。また、根管治療やコアの治療回数、治療期間、治療費を含んでいませんのでご注意ください。









