保険の前歯を直したい
ご本人の希望は治すというより”直す”に近いと思いこの題名にしました。
多忙な方で、気にしながらも前歯を使っていました。
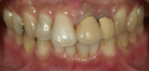
治療前の写真です。
保険での前歯は透明感がなく、黄ばみや生え際も気になります。

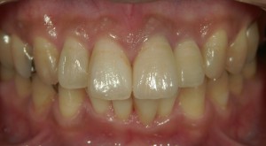
そして治療後です。
ご本人の希望に沿い、矯正治療せず歯並びなり形なりを整えました。
下の前歯の歯並び、かみ合わせも考慮しつつ
自分の歯にある特徴を再現しながらあまり目立たせず、、、
トイレのような真っ白きれいとは違う、
その方のためのきれいをつくることを目標としています。

歯科医師がもつ美的感覚を押し付けるのではなく
ゴールを共に決め、共に歩む治療を行っています。
・セラミックスクラウンについて
歯肉圧排をし歯の形を整えた後ダブルコード・シリコンによる精密な型取りを行い、歯の色も極力合わせることができるよう他歯の写真を撮影、次回完成となります。メタルボンドを使用する際には中の金属の貴金属の含有量の違いでスタンダードかプレシャスクラスか異なります。オールセラミックスではスタンダードでのemaxかジルコニアを用いています。いずれも精密な治療とセラミックス専門の技工士により天然歯を再現するような完成を目指しています。
肉眼での治療とは異なるため長持ちする治療法ではありますが、人工のものですからいつかむし歯の再発が起きたり、セラミックスが欠けるなどのことがあれば再治療が必要となる場合があります。保証制度を設けておりますので治療前にご確認ください。
治療回数は2〜3回 治療期間は7日〜3週間
治療費100,000〜160,000円 受けたいセラミックスのクラスを“治療費について“ページにてご確認ください。また、根管治療やコアの治療回数、治療期間、治療費を含んでいませんのでご注意ください。









