前歯に後悔、、、
歯並びが悪かったため矯正治療を考えていましたが、矯正しないですぐに治せると歯科医院で言われ傷んでいない前歯を6本削りセラミックスを入れられた患者さんです。

完成したセラミックスの形や色は治療前に受けた説明や想像していたものと大きく異なり、そして健康な歯を削ってしまったということもあり納得できずずっと後悔されていました。
”笑顔などでも無意識のうちに歯を隠すような癖がついてしまい、そして歯ぐきが膿んできてしまった”ため今回治療を受ける決心をされました。
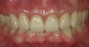
正面の前歯2本の形やサイズが左右で異なるのがわかります。御本人左側の歯ぐきが低い位置にあるため四角い(むしろ横に長方形)形をしているだけではなく、長さを少しでも左右で合わせるよう前歯2本を斜めに傾けているためお顔に対し曲がった前歯となっています。
また、セラミックスと歯ぐきとの際に段差がありセラミックスの中でトラブルが生じていたため、前歯6本中5本で歯根が膿んでいる状態でした。(写真でもおできのように歯ぐきが腫れているのがわかります。)
セラミックスを除去し、根管治療を行います。
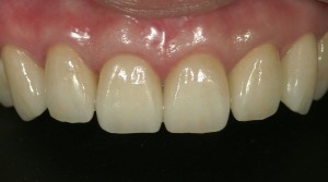
おできのような腫れが治まっていることがわかります。

セラミックス除去と同時に仮歯を装着するため治療の開始から終わりまで日常生活で歯がない状態にはなりません。
そして歯ぐきの形も整え完成へ。
オールセラミックスでの治療です。

セラミックスの形や色をお顔と調和するよう心がけています。
写真は完成直後のためこれからもっと歯ぐきも馴染みます。

せっかくのセラミックス。
喜んでいただける、治してよかったと思っていただける治療を常に目指しています。
・セラミックスクラウンについて
歯肉圧排をし歯の形を整えた後ダブルコード・シリコンによる精密な型取りを行い、歯の色も極力合わせることができるよう他歯の写真を撮影、次回完成となります。メタルボンドを使用する際には中の金属の貴金属の含有量の違いでスタンダードかプレシャスクラスか異なります。オールセラミックスではスタンダードでのemaxかジルコニアを用いています。いずれも精密な治療とセラミックス専門の技工士により天然歯を再現するような完成を目指しています。
肉眼での治療とは異なるため長持ちする治療法ではありますが、人工のものですからいつかむし歯の再発が起きたり、セラミックスが欠けるなどのことがあれば再治療が必要となる場合があります。保証制度を設けておりますので治療前にご確認ください。
治療回数は2〜3回 治療期間は7日〜3週間
治療費100,000〜160,000円 受けたいセラミックスのクラスを“治療費について“ページにてご確認ください。また、根管治療やコアの治療回数、治療期間、治療費を含んでいませんのでご注意ください。









