・書籍 ”歯科プロフェッショナル2023” 発刊
先日、歯科プロフェッショナル2023が出版発刊されました。
歯科医師約107000人、歯科医院件数約68000施設の中から、光栄にもプロフェッショナルな歯科医師19名として選出していただきました。
”今回の発刊は営業や医院の広告宣伝ではなく、読者に自信を持ってお勧めできる先生を収録し、新聞社としてどこにかかれば良いのか分からない患者さんの歯科医院選びの一助となるような書籍づくりというコンセプト”によると取材時に伺いました。

受けたい歯科医療は選択できる
以前までは大多数の方が、”歯科医院であればどこも治療内容は変わらない”という認識のもと、先生やスタッフとの相性、家からの距離、通いやすさなどで歯科医院を決められていました。
しかしインターネットの普及により患者さんは様々な情報に触れることができるようになったことで歯科医院ごとに特徴の有無があることや治療の質、得意とする分野が異なるということを知り、このように治したい、治してほしいと事前に症例写真を確認してから受診する患者さんが増えています。
治療の質や精度により歯の寿命が変わるということだけではなく、歯は笑顔の一部であるため歯科医師の審美的感覚を事前に知ることも重要だということが広く知られるようになりました。

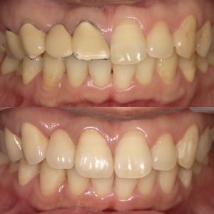
前歯で困られている方の笑顔を変える可能性があるセラミックス治療
開院以来、歯や神経を残したい、きれいに治したいという方に応えることができるよう努め、結果である症例写真を更新してきたこと、そして医院コンセプトを発信し続けてきたことに加えこの10年の診療実績が認められ、今回このような機会をいただきました。
当院の特徴は歯の保存を目的とする治療
当院はかみ合わせや根管治療、インプラント、歯周病を含む総合的な治療はもちろんのこと、歯を保存する治療や精密な治療、精密な審美治療を特に得意としています。
歯の保存がなぜ審美につながるか
歯科治療ではむし歯や歯の破折、歯の喪失に際し、失った歯質、歯をなにかしらで補填するということをしています。
天然歯の形やサイズには意味があるため、当院が行う保険外での修復は歯を再現することを究極的な目標としています。
修復物と歯に段差が生じていたり、歯のサイズや形が合わなければ見た目の不良だけではなく汚れやすい環境であり、つまり歯肉や周囲組織と調和していないことで修復物との段差に細菌が滞留し再治療が必要となりやすい状態となるからです。
再治療の繰り返しが必要となれば歯が更に傷み抜歯に近づくこととなるため、天然歯に近づける完成でありケアをしやすい完成をつくることが患者さんが審美的にも望む治療かつ歯の寿命を変える治療となります。
治療結果が綺麗と見て感じるほど精度が高く調和している完成であり、ケアをしやすく長持ちしやすい治療と言えます。
歯のために、笑顔のために受けたい治療がある
上記のように歯を残すため、天然歯に近づける修復をするという目標を持つ治療を当院では行なっています。
私は幸せなことに歯科界をリードする師に基礎から最先端の治療まであらゆることを学ばせていただき、そして、様々な専門的治療分野でのスペシャリストとの出会いがあり、総合的な歯科治療を行う今があります。
10年前の開院以来、痛くなければそれで良い、むし歯の治療をしてくれれば良いという患者さんだけではなく、歯を長持ちさせたい、失いたくない、歯を気にせず笑いたいという、思いのある多くの患者さんに関わってきたことがあり、歯科治療に質が求められていることを強く感じています。
これからも研鑽を続けながら困られている方の力となれるよう努めます。
歯科治療の現実
私は歯科治療が趣味と言えるほど細かい作業が好きであり、結果、患者さんの笑顔を見ることができる歯科医師を自分にとって天職と思っています。
歯の大切さを理解してるため患者さんの歯を自身のからだのことと思い、歯を残すことができるよう治療に取り組んでいます。
ただ、残念ながら歯科医療は歯を生き返らせられるものではありません。
銀歯などが傷み再治療を行う際には歯や神経を残すことができるかどうかという状態にあることが多く、どれほど生かす状態をつくれるかということを歯科治療では行なっています。
歯科治療は行えば必ず治るというものではないのです。
可能であれば全ての方に治療結果を喜んでもらいたい。そのように思いながら日々診療に取り組んでいます。
それでも歯の状態により治療結果も変わるため、全ての方の期待に応えられるということはありえません。
治療後に喜んでいただけた患者さんの笑顔をたくさん覚えています。
ただ、応えることができなかった患者さんのことも忘れることができません。
歯科治療はとても難しく日々より良いことができないかを考え対応しています。
患者さんと前向きに健康な未来をつくることができるようこれからも努めます。
実際にどのような治療を、どのような質で受けることができるのか、知りたい
患者さんは、特に前歯の審美で困られている方や歯を残したいなどの思いが強い方ほど、大切な歯をどの医院に任せるのかで悩まれています。
また、高い治療を勧められ受けたけれども完成が納得できず、再治療を望み歯科医院を探している方もとても多くいます。
その思いに応えることができるよう、私たちは自身が日々行なっている診療の質を症例写真にて表しています。
歯を守るためには高い精度での治療が必要です。
その治療の質、精度は写真でなくては判断することができないため、現在では症例写真を確認することが患者さんにもスタンダードとなりつつあります。

症例写真では審美的なことに目がいきますが、上記のように写るものは審美的な要素だけではありません。
きれいに見える審美的な完成は精度が高く調和していないとそのようには見えませんが、歯を守るためには精度はもちろんのこと根管治療、噛み合わせ、インプラント、歯周病など様々な治療分野においても質が求められます。
根管治療に特化していてもその上のコアやクラウンの質が伴わなければ高額な根管治療を受けても効果が落ちてしまいます。
様々な治療分野が高い精度で行われることが口腔内の健康を守る環境をつくるため、審美的要素だけではなく様々な治療分野の症例写真も患者さんから望まれています。
当院では患者さんの望みに応えることができるよう総合的な歯科治療を提供しています。
様々な治療分野の症例写真を更新するようにしていますのでご確認ください。
セラミックスクラウンについて
いつかむし歯の再発や歯根の先に感染、セラミックスのチップ等により再治療が必要となる場合があります。半永久に持つということはありえません。歯の状態にもよりますが、当院では歯肉圧排・シリコン印象を行い可能な限り歯の寿命を延ばすための治療を行なえるよう努めています。
治療回数は(根管治療を除き)2〜3回、治療費は110000〜176000円(別途コア代)









