前歯の治療
前歯をずっと気にされ来院されました。
長年気にされていた前歯の悩みを解消すべく色や形を口元に合わせオールセラミックスをつくります。
“for Patient”と言ってくださりましたが、実際に私たちが常に目指しているものです。クリニックの診療への思いを感じていただき嬉しいお言葉をいただけました。
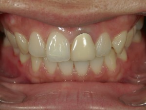
術前の写真です。
左上の前歯は保険のかぶせもので、透明感がなくのっぺりとし人工的です。
歯の長さも右側の自分の歯に比べ短いため四角形のようなぼてっとした形をしています。

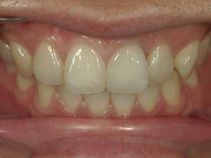
術後の写真です。
歯の大きさや形なども歯ぐきを調整することで左右合わせています。
完成直後の写真ですので時間をおくことで歯ぐきは馴染んできます。

素敵な笑顔をいただき、私たちも嬉しかったです。
・セラミックスクラウンについて
歯肉圧排をし歯の形を整えた後ダブルコード・シリコンによる精密な型取りを行い、歯の色も極力合わせることができるよう他歯の写真を撮影、次回完成となります。メタルボンドを使用する際には中の金属の貴金属の含有量の違いでスタンダードかプレシャスクラスか異なります。オールセラミックスではスタンダードでのemaxかジルコニアを用いています。いずれも精密な治療とセラミックス専門の技工士により天然歯を再現するような完成を目指しています。
肉眼での治療とは異なるため長持ちする治療法ではありますが、人工のものですからいつかむし歯の再発が起きたり、セラミックスが欠けるなどのことがあれば再治療が必要となる場合があります。保証制度を設けておりますので治療前にご確認ください。
治療回数は2〜3回 治療期間は7日〜3週間
治療費100,000〜160,000円 受けたいセラミックスのクラスを“治療費について“ページにてご確認ください。また、根管治療やコアの治療回数、治療期間、治療費を含んでいませんのでご注意ください。









