Archive for the ‘入れ歯’ Category
しっかりと咬みたい。入れ歯を目立たなくしたい。歯科総合治療
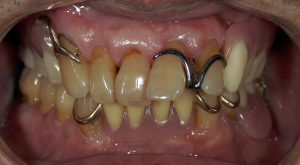
奥歯でしっかりと咬みたいという希望を持たれ来院されました。
”入れ歯の金具が見えることについてはあきらめていた”とのことでしたがが立場がある方なので潜在的に解決したいという想いを持たれていました。

治療を繰り返し受け患者さん本来のかみ合わせが狂ってしまっていたことが咬みづらさの原因でした。
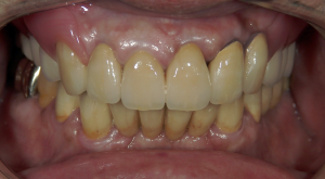
まず、かみ合わせの治療を行います。
かみ合わせを再構築するということを行ないます。(奥歯に高さを足すことで咬めるという感覚を回復、前歯の位置も調整することで上顎前歯への突き上げも解消しました)
奥歯に高さを加えることで多少ですが、若返りするかのような口元の張りも得られました。
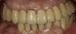
かみ合わせが安定し、しっかり咬みたいというご希望に応えることができたため完成へ。

このような完成を得るためにかみ合わせ治療から精密歯科治療など様々な治療を行なわせていただきましたが、治療が終わり二年が経過した現在も問題なく使っていただけています。
”気持ちよく生活してるよ!”
と、いらしていただく度に大きな笑顔を見せてくださいます。
入れ歯などの治療もインプラント治療も様々な治療が進化しています。
患者さんに様々な選択肢を提供する、患者さんのご希望に沿える歯科医院であるよう今後も研鑽を続けます。
・精密な入れ歯について
金属を用いることで可及的に薄くすることができ、フィット感も高まります。また審美的な入れ歯では金属によるバネを目立たなくすることが可能です。
ただし紛失したり扱い方によって破損したりした場合には再製が必要となります。またバネが緩んできた場合には来院していただき対応する場合があります。清潔に使っていただくため洗浄剤を用い、メンテナンスが必要となる場合があります。
治療回数は説明、型取り、完成の2〜4回、治療期間は約8日〜1ヶ月です。
治療法には様々な選択肢がありますのでどのような入れ歯を希望されるかご相談ください。1装置治療費:80,000円〜834,000円(白金加金に審美的な入れ歯で作製した場合)
入れ歯ではない方法で、、、
”難しいことは自分でもよく分かっています。
でも、今回はどうしても入れ歯ではない方法でお願いします。”

出来るだけ入れ歯は回避したい。 それは多くの患者さんが望まれること。
今回は入れ歯やインプラントも含め様々な治療法を提示させていただきましたが最終的に今までと同じような治療法を選択されました。

根管治療やかみ合わせ治療を行い、とうとう完成します。
世界はものすごいスピードで進化しています。
それは歯科治療でも同様です。
治療にもよりますが、以前では考えられなかった治療を提供できるようにもなってきています。
当歯科クリニックでは患者さんのご希望もお伺いし、共に歩む歯科治療を提供しています。
患者さんの希望 入れ歯治療
海外で生活されていた方で、とても紳士な方が高橋歯科クリニック文京に通われてています。
前歯を失わざるを得ない状況となり入れ歯の新製を希望されました。
インプラントは選択肢にはありません。いい評判はきかないから。 とのこと。
残る歯を積極的に削ることもしたくないため入れ歯の新製をしたいということでした。
入れ歯の新製にあたり、患者さんがなによりも望まれたことは”入れ歯の厚みを極限まで薄くしてほしい”ということでした。

完成した入れ歯です。

つまり”英語の発音にこだわるための入れ歯”の完成です。
精度にこだわり、金属を使うことで薄さを追求し、そして外側のバネにおいても見えにくく違和感も少ない形としました。
英語のための入れ歯とはあくまでこの方の入れ歯のテーマですが、”この入れ歯は答え”と言ってくださるほど喜んでいただけました。
入れ歯で悩まれている患者さんはたくさんいらっしゃいます。
そして一人一人悩まれるポイントも異なります。
文京区の歯医者、高橋歯科クリニック文京は患者さん一人一人の悩みを解決することができるよう、入れ歯にもこだわりをもって診療しています。
・精密な入れ歯について
金属を用いることで可及的に薄くすることができ、フィット感も高まります。また審美的な入れ歯では金属によるバネを目立たなくすることが可能です。
ただし紛失したり扱い方によって破損したりした場合には再製が必要となります。またバネが緩んできた場合には来院していただき対応する場合があります。清潔に使っていただくため洗浄剤を用い、メンテナンスが必要となる場合があります。
治療回数は説明、型取り、完成の2〜4回、治療期間は約8日〜1ヶ月です。
治療法には様々な選択肢がありますのでどのような入れ歯を希望されるかご相談ください。1装置治療費:80,000円〜834,000円(白金加金に審美的な入れ歯で作製した場合)









