
精密歯科治療(ルーペ)
拡大鏡(ルーペ)を用いる確実なむし歯治療

お口の中は拳一つ程の大きさで、その中に28本の歯や、舌などが存在しています。
その中の一本の歯に存在するむし歯はとても小さく、肉眼での治療には精度の上で限界があります。つまり肉眼での治療ではむし歯の取り残しなどが生じる可能性があるのです。それはむし歯の更なる進行、拡大、痛みの発現を意味します。
患者さんの歯を守るため、むし歯を確実に除去する。
当歯科クリニックでは精密歯科治療を実現するため、拡大鏡(ルーペ)や実体顕微鏡を使用して診療にあたっています。“見える確実な治療”を行うことが、歯の削り過ぎや神経の除去、むし歯の取り残しなどを防ぐことにつながります。
保険診療によるインレー治療がされていましたが、フロスがひっかかることと銀歯を取り替えたいとのことでセラミックスインレーでの治療を希望(当院長治療症例)
不適合な金属に汚れが溜まり、金属と歯とのすき間にむし歯の再発が起きています。
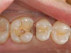
ルーペ(拡大鏡)を用い、確実なむし歯の除去を行います。
セラミックインレー装着
精密な治療を行うということは余計に歯を削りすぎることも防ぎます。
結果、神経を取らずにすんだり、痛みの少ない治療を行うことができるのです。
ただ白ければ良いというものではありません。
当院ではむし歯再発や歯周病の進行、口臭などからも守りやすい治療結果を得るため、専門的な審美治療を行なっています。このような治療は歯の神経を極力失わないための、歯に優しい歯科治療とも言えます。
歯や歯肉と調和する完成となるため、結果的に自然で美しい完成となります。確かなむし歯治療は当歯科クリニックにお任せください。
精密歯科治療関連ブログ
・ハイブリッドインレー ・セラミックスインレーについて
むし歯を取り除き歯型を採り、次回来院時に保険診療とは異なる接着法を用いることでより強固に接着をさせます。むし歯を取り除く際やセット時に患者さんの希望により麻酔を使う場合があります。もししみる、痛い等のことがあれば遠慮なくご相談ください。
調和する精密な治療、強固な接着を行うことでむし歯の再発や歯周病の進行等を防ぎやすい環境をつくります。銀歯に比べ清潔で長持ちする治療ではありますが、銀歯などのむし歯治療と同様に神経が傷んだ際には修復物を除去し抜髄治療を行う場合や硬いものを噛んだ等により修復物が破折する場合がないとは言い切れません。歯のダメージによってはむし他の歯治療同様治療後しばらくしみる、噛むと違和感などを覚える場合があります。当院では拡大鏡を用い切削量が銀歯と余り変わることのないよう努めています。
歯科治療とは人のからだに行うものであり治せば全てのケースで良好な結果を得られるものとは限りません。その為、当院では患者さんを守るため保証制度も設けていますので術前にご確認ください。
治療期間は1〜2週間、来院回数は通常2回となります。
ハイブリッドインレー:36,000円 セラミックスインレー:60,000円
アンレー(咬頭を含む大きな詰め物)については10,000円の追加となります。
”治療費について”のページにも明記させていただいていますがホームページ上の治療費は全て税別の表示となっています。









