Archive for the ‘ダイレクトボンディング’ Category
・奥歯ダイレクトボンディングに保証がない理由について
ダイレクトボンディングは適応を限って当院では行なっています。
下の写真のように歯間部にかかる治療部位に行う当院が考える最善の治療はダイレクトボンディングではなく、再治療を先延ばしするために行うセラミックス治療です。
特に奥歯において神経を可能な限り失いたくない、歯を持たせたいと考えられる方にはダイレクトボンディングではなくセラミックスによる治療をお勧めしています。
なぜなら、ダイレクトボンディングはセラミックスではなく、あくまでプラスチックだからです。

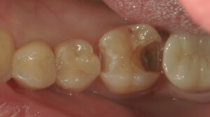
この患者さんは3年前にダイレクトボンディングを15万円をかけて他院で受け、それが欠けてしまったために初診来院されました。
手前の歯と合わせて2本にダイレクトボンディングにて治されたそうですが治療直後から奥歯との間に食べ物が詰まりフロスがひっかかる状態だったとのことです。
このように歯間部の歯の形が失われている場合にダイレクトボンディングを行うと欠ける、すり減る、フロスがひっかかる、食べ物が詰まるなどのことが起こりやすく、結果長持ちせず再治療が必要となってしまう場合があります。
今回も咬む力で接着が緩んだかフロスをしにくいことで修復の周囲からむし歯になったかで結果的にむし歯をとることでむし歯治療をしなくてはならない状態でした。
歯や神経を残したいという思いがあり当時ダイレクトボンディングを選択されましたが、大きく欠けた奥歯だけではなく手前の歯のダイレクトボンディングも一部欠けフロスがひっかかる状況となっていたため、今回は”再治療を先延ばしすることで神経を守る”という目的をもってセラミックスインレーによる治療を希望されました。
上ページに奥歯ダイレクトボンディングなどの症例写真をあげているので宜しければご確認ください。
セラミックス治療との違い
ダイレクトボンディングは最小限ですむという聞こえが良い治療ではありますが、奥歯で用いれば噛む力によりすり減りが生じ、強度の高いセラミックスに比べ欠けやすい治療法でもあります。
フロスが引っかかる、お肉などが歯間に詰まるなどの完成となればケアをしにくい環境によりむし歯の再発が生じ再治療が必要となることが考えられます。
口の中でプラスチックを整形し歯の形をつくるダイレクトボンディングに対し、セラミックスインレーは歯型をとり口の外で天然歯を再現するようにつくったものをはめ込むという治療であるため材質的に優れている上にフロスによるケアをしやすい環境をつくれるため、欠けにくく清潔であり再治療や神経喪失を遅らせること、歯の寿命を延ばすことにつながります。
また、当院のセラミックス治療では強固な接着法を用い、精度の高い治療を行えるよう努めていることも歯の寿命に貢献することとなります。
上の写真のように歯と歯の間の形が失われている場合には当院ではダイレクトボンディングと比較して長持ちするセラミックスインレーによる治療を推奨しています。
他院での奥歯ダイレクトボンディング5年経過症例

このつぎはぎのような状態になっているのが5年前に他院にて20万円をかけ治したダイレクトボンディングです。現在はフロスもひっかかりが生じ治療が必要となる状態でした。
ダイレクトボンディングはその時に”最小限で済む”という聞こえは良い治療ですがフロスがひっかかる、ねぎやお肉などの食べ物が詰まる、フロスをすると血が滲む、結果むし歯になる、材料的にもセラミックスに比べ弱く摩耗や欠けが生じるなど再治療が短期間で必要となる場合があります。
再治療を可能な限り先延ばしすることが歯を残すことにつながるため、当院ではセラミックスによる治療に比べ耐久性が低くトラブルが生じやすい奥歯でのダイレクトボンディングはお勧めしていません。
奥歯ダイレクトボンディングの保証について
上記理由にて当院ではセラミックス等の精密な歯科治療と異なり、ダイレクトボンディングに関しては奥歯に限り保証を行っていません。(ただし奥歯でもトンネリングで済む場合や咬合面のみなどダイレクトボンディングでも有効な歯の状態があるため、通っていただいている患者さんにダイレクトボンディングが有効である場合には保証することも相談の上で提案しています)
セラミックスの治療やジルコニア、ハイブリッドという強化コンポジットレジンなどの歯を残すための審美治療を長く行ってきた結果、奥歯の歯や神経を残す治療には再治療を先延ばしするためのセラミックスによる治療が最善と考えています。
初診問い合わせについて
初診での”奥歯ダイレクトボンディング希望”という問い合わせについては歯の状態を限って行っているため状態を確認しなくては答えることができませんし、できるできないではなく長期的に歯を残すためになにができるのかを考え診療を行っているため受診されても歯の状態により当院では応えられない場合がありますので予めご了承ください。
奥歯のダイレクトボンディングに強い希望がある方は保証のある他院受診をお勧めします。
通院されている患者さんへ
再治療が必要となれば治療費や受診が必要となり、歯もダメージを受ける状態となってしまいます。
今回の治療が全てではなく長期的な視野にて治療法を選択していただいている理由は、歯を失うことが極力なく80歳を迎えてもらいたいと思っているためです。
治療の際にはセラミックスだけではなく他の治療法も合わせメリット・デメリットをフェアに説明し、条件があえばダイレクトボンディングも選択肢として提案をし歯を残すことができるよう努めています。
とても過酷な環境にある修復物
口の中にある修復物は噛み締める力がかかり、唾液や菌に常に晒されている過酷な環境にあります。
治療を受ければ長持ちすることが当たり前ではありません。
だからこそ治療が必要な歯に対して最善を行い、また、むし歯のなりかけを治すことがあればそれが数年後には再治療が必要となってしまうためかかりつけ機能強化型歯科医院として少しでも長く自分の歯を削らずにフォローするということを行っています。
つまり歯を残すために当院は治療を主に行う医院ではなく、精度の高い審美治療と保存治療による総合的な予防に取り組む医院を目指し続けています。
歯の状態にもよるため私たちに任せたら必ず望まれる結果が出るというものではありません。
当院では患者さんの大切な歯を20年後に少しでも良い状態で残すため歯の状態、できること、できないこと、治療選択肢を説明し患者さんと歩む治療を提供することができればと思っています。
・前歯のデザイン
30代の笑顔が素敵な女性患者さん。

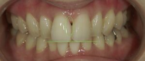
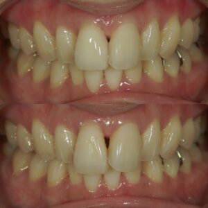
前歯2本が長いこと、中でも本人右側前歯の挺出により左前歯に比べ更に長いこと、そのため右側前歯が三角形のように細長く見えていること、前歯の間の歯肉退縮による暗い隙間が大きいことなどに対し歯の長さ、形の修正とダイレクトボンディングにて対応しました。

2枚目の治療後写真では患者さんにとって右側前歯の形に対し(下写真緑の円の部分に)ダイレクトボンディングを付与することで歯を削ることなく女性らしい丸みを帯びた形を目指し、両側前歯の長さにおいては他の歯や瞳孔線、笑顔と調和する適切な長さに揃えることを意識しました。

患者さんにとっての捻れている左前歯は長さの調整のみ。
歯を守り生涯自身の歯で笑い食事できるということを当院ではコンセプトとしているため歯を必要以上に傷めることはしていません。
今後は真ん中の隙間への歯肉の上昇を見守りながら患者さんの満足度に応じて左前歯の形の修正も必要かを見ていくこととなります。

笑顔の一部、前歯には色はもちろんのこと形や厚み、歯の軸にも調和が求められます。
1ミリ程度のことでも笑顔に違和感が生じていることがあります。少しの調整でも笑顔を変えられる可能性があります。
前歯のデザインはその方の表情や歯の見え方、笑顔とのバランスを見て行なっており、今ある素材を生かしてどのようにより気持ちの良い日常を送るサポートをすることができるのかを考えています。
患者さん自身も気になるけれどもどのようなことが可能なのか想像がつかないもの。
前歯の長さ調整は後戻りできないため慎重を重ね前歯のデザインを提案し任せていただきました。
この方は信頼をして治療を任せてくださっている方でした。前歯の長さを変えることは初診からまだ浅い方、信頼関係を得られていない方には行っていませんので予めご理解いただけるようお願いします。
前歯のセラミックス治療も前歯のデザインの一環です。
当院は”こうなれば良いのに”という潜在的な患者さんの希望を読み笑顔をプロデュースすることができる医院を目指すことで笑顔を増やすという社会貢献をすることができるよう努めています。
・ダイレクトボンディング 最小限で終えるむし歯治療
むし歯治療は失った歯になにかを充填するという治療です。
長持ちしてきれいに治ったら嬉しい。 それが私たち自身も受けたい治療であり、目指している治療です。

歯には意味があって溝や山があります。
失った歯の形や色を再現できるよう努めています。
保険治療や予防歯科にもこだわりを持って取り組んでいますが、歯のための歯科治療においても患者さんの希望に応えうる歯科医院であるよう努めています。
このような治療があればいいな、保険治療ではなく歯を残すためのもっと良い治療はあるのだろうか、などのご希望もあれば遠慮なくご相談ください。
インスタグラムに載せていますのでそちらも合わせてご覧ください。
・ダイレクトボンディングについて
むし歯を取り除きラバーダム下にてEDTA処理を行った後、強化コンポジットレジンにて充填を行います。歯の形態には意味があります。ダイレクトボンディングでは極力歯の形を再現することができるよう努めています。保険で用いられるCR治療との違いはラバーダムを行い強い接着を行うこと、材質が優れていることから変色や摩耗、咬耗しずらくむし歯再発もしにくい完成となります。ただ、奥歯で用いるとセラミックスに比べすり減りが起きやすく、また、欠けないとは言い切れないため再治療が必要になる場合があります。
治療回数期間:当日
前歯:18,000円 奥歯(歯間を含まないもの):27,000円 奥歯(歯間を含むもの):37,000円
« Older Entries








