
治療費について
当院の治療費特徴とは 治療の質と治療費の関係
当院は都内でもまだ限られる、治療の質を症例写真にて示す医院です。
そのこともあり、近隣の方だけではなく歯を守りたい、きれいに治したいなどの思いのある患者さんに関東全域より来院していただいています。
遠方から通ってくださる患者さんにとって最寄り駅より多少距離があることは負担となってしまいますが、東京のより中心部や、規模の大きいテナント等とは異なり医院維持に必要となるコストが少なく済むことは、患者さんにとってメリットとなります。
つまり、セラミックス専門の歯科技工士と連携を行い、治療材質も信頼するものを用い”私たち自身が受けたいと思う治療”を行なっていますが、当院はビルの中、駅近、東京都中心部とは異なるため、テナント等にかかるコストを保険外診療費に上乗せすることなく医院を運営することが可能です。
白ければ良いのではなく、そして質にこだわりをもち笑顔や歯を守るための精密な保険外治療を以下の治療費にて行なっています。
保険治療について
素材などにより保険の適用範囲が異なりますが、当院では保険治療においても丁寧な治療を行っております。
保険診療は日々を生活に支障がなく送れるよう国が行っている制度です。治療内容により費用が決められているため、どこの歯科医院に行ってもほぼ同じ治療費で治療を受けることができます。
しかし、歯を残すという目的を持つ高度な治療方法や材質によっては「生活に支障のない健康維持」とはみなされず、保険が適用されません。
より良い治療の選択は歯科医院と患者さんとの緻密なコミュニケーションにより決められます。保険外治療を考えられている患者さんにはお口の中の状況と治療選択肢をお伝えしますのでご相談ください。
当院では保険診療においては現金でのお支払いをお願いしています。
電子マネーは便利ではありますがそれらの導入や維持、更新にかかるコスト、そして手数料が発生し治療費を上げなくてはならないためです。
保険外診療におきましては金額が大きくなるためクレジットカードをご利用いただけます。
2012年の開院以来で消費税は5%上がり、貨幣価値も変わっています。
そして材料費や人件費、技工料、電気代等あらゆるものが高騰している現在ですが治療費を上げず医療の質を維持し、通いやすい医院であるためにも保険診療のお支払いに関しご理解いただけるようお願いいたします。
精密審美治療 費用
インレー(詰め物)
| ハイブリッドセラミックス | 39,600円 | ||
|---|---|---|---|
![]() |
材質: | セラミックの粒子にレジン(歯科用プラスティック)を混ぜた材料です。 | |
| 特徴: | 歯のように白くでき、金属を使用していないので、アレルギーの心配もありません。従来の100%セラミックを使用したインレーの、破折しやすい特性を改良したものですが、摩耗や変色が多少生じます。 | ||
| セラミック | 66,000円 | ||
![]() |
材質: | セラミック(陶材)のみで作られています。 | |
| 特徴: | 歯に近似した透明感があり、変色もしにくく美しい材料です。また、摩耗(すり減り)しにくく、汚れも付着しにくいという特徴があります。金属を使用していないので、金属アレルギーの心配もありません。現在、最も優れた材料です。 | ||
| ゴールド | 99,000円 | ||
![]() |
材質: | 18Kを用いる従来の治療法です。 | |
| 特徴: | 金色になりますが、汚れも付着しにくく、適度な展延性があるため耐久性や材料安定性にも優れています。 | ||
アンレー(大きい詰め物)はプラス円となります。
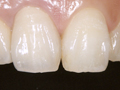
クラウン(被せ物)
| エコノミークラス | 99,000円 | ||
|---|---|---|---|
![]() |
材質: | 従来からの治療法であるメタルボンドによる治療です | |
| 特徴: | 金属にセラミックスを貼付けた被せ物です。ほとんど金属が見えない完成となります。ただ現在最善である”メタルを使用しない治療法”と比べると透明度は低く審美性が劣ります。 | ||
| スタンダードクラス | 110,000円 | ||
|---|---|---|---|
![]() |
材質: | e-maxもしくはジルコニアのどちらかにて治療を行います。 | |
| 特徴: | セラミックス専門の技工士と作製しているため(エコノミークラスや通常のセラミックス治療と比べ)症例集のような完成を常に目指しています。(前歯のセラミックス治療は奥歯と異なり色を合わせる必要があるため11,000円の追加にて行います) 審美性や耐久性など、治療の際にどちらが歯の状態に適するかを判断しています。 |
||
| セラミックス治療プレシャスクラス | 143,000円 | ||
|---|---|---|---|
![]() |
材質: | 現在当院で行う奥歯治療の最善です。 | |
| 特徴: | 歯の硬さによせたかみ合わせに優しいジルコニアを用います。単色で白が強調される完成ではなく色を馴染ませ、かつかみ合わせの歯に優しく強固な接着により歯を守る、奥歯での最善の治療法です。 | ||
| ジルコニアオールセラミックス | 176,000円 | ||
![]() |
材質: | ジルコニアとセラミックで作られる前歯での最善の治療法です。 | |
| 特徴: | 体に最善の治療でもご紹介したように、透明感が高く、治療のゴールは可能な限り自然な美しさを再現するということです。当院における前歯治療の最善です。 強度にも優れ金属アレルギーの心配もありません。 |
||
テンポラリークラウン(仮歯) 3300円
ブリッジは特に精密な型取りや完成時の調整が必要となるため連結部1カ所につき11,000円をいただきます。
コア(支台歯)
| ファイバー | 19,800円 | |
|---|---|---|
![]() |
虫歯が大きく、歯の欠損が著しい場合、かぶせ物の下に土台を入れる必要があります。この土台部分を「コア」といいます。ファイバーコアは歯に近似した材料なので、歯への負担も軽減され、歯が割れてしまう可能性を低くします。また、金属アレルギーの心配もありません。 (自費診療の場合は歯を守るためファイバーコアもしくはゴールドコアを使用します) |
|
インプラント 費用
| 診断料+ステント | 25,300円 |
|---|---|
| CT撮影料+画像解析 | 38,500 ~59,400円 |
| オペ代 | 176,000円 |
上部構造
| メタルセラミックス | 194,700円 |
|---|---|
| プレシャスメタル | 211,200円 |
| オールセラミック | 249,700円 |
それぞれアバットメント代を含む
骨移植
| ソケットリフト | 33,000円 + 材料代 |
|---|---|
| サイナスリフト | 165,000円 + 材料代 |
| GBR | 165,000円 + 材料代 |
ex)1本のインプラントにかかる費用
| 診断料+ステント | 25,300円 |
|---|---|
| CT撮影料+画像解析 | 38,500円 |
| オペ代(二次オペ含む) | 176,000円 |
| メタルセラミックス | 194,700円 |
| 合計 434,500円 | |
矯正治療 費用
| 矯正相談 | 無料 | |
| 精密検査 | 33,000円 | |
| 早期初期治療 | 77,000円 | |
| 子どもの矯正治療(第一期) | 330,000~440,000円 | |
| 矯正治療(第二期治療を含む) | マルチブラケット | 770,000円 |
| マルチブラケット+白いワイヤー | 880,000円 | |
| 裏側矯正(上顎は裏側 下顎は表側) | 990,000円 | |
| 裏側矯正(上下共) | 1,210,000円 | |
| マウスピース型矯正歯科装置 | 330,000円~1,100,000円 | |
| 部分矯正(1歯につき) | 165,000円~ | |
| 便宜抜歯(1本につき) | 5,500円 | |
| 管理調整料 | 5,500円 | |
| 保定装置 リテイナー | 22,000~55,000円 | |
| 装置紛失・破損の場合 | 22,000円 |
矯正治療費お支払い方法について
(矯正治療費のお支払い方法は現金のみとなりますのでご了承ください。)
当院ではご負担を軽減できるよう矯正治療費に関して分割払いもご利用いただけます。
- 子どもの矯正治療(第1期治療) 最大18回払いの分割
- 矯正治療(第2期治療) 最大24回払いの分割
- 保定機関に入る前までにお支払いを終えていただきます
- 上記期間内であれば月々の分割金額は患者さんのご希望する金額に設定していただけます。(月々の均等払いやボーナス払いなど)
分割のお支払いでもお利息はいただきません。(分割払いは矯正治療に限ります)
“医療費控除の都合上年内に支払いを終えたい”などの方もご相談ください。
矯正歯科治療は(場合により保険適用となることがありますが)基本的には健康保険適用外の自費(自由)診療となります。
他院にて矯正治療中の方の依頼による便宜抜歯は1本8,800円となります。(当院で矯正治療を行っている患者さんには負担の少ない抜歯を矯正医との連携により行なっています。他院からの依頼による抜歯は同様の抜歯を行えないため上記の金額にて抜歯を行わせていただきます。)
治療期間の目安 : 状態や治療内容によりますが一般的には24〜30ヶ月 通院回数は24〜30回となります。状態による見通しや保定期間等の説明を相談時にご説明をしていますので治療開始前にご確認ください。
また、矯正治療における一般的なリスクと副作用について矯正歯科(小児矯正・成人矯正)ページに書いていますのでご確認ください。
入れ歯治療 費用
| 精密レジン床 | 88,000円 | |
| 金属床 | コバルトクロム | 385,000円 |
| チタン | 495,000円 | |
| 白金加金 | 715,000円 | |
| マグネット | 1装着 | 88,000円 |
| 金具を用いない審美的な入れ歯(金属のバネを用いないためとても自然な入れ歯) | 1~3歯 | 154,000円 |
| 4~7歯 | 187,000円 | |
| 8~14歯 | 202,400円 |
精密根管治療 費用
前 歯 44,000円
小臼歯 55,000円
大臼歯 77,000円
再診料(受診2回目以降根管治療終了時までの診療毎の費用)2,420円
(コア(支台歯)とクラウン(被せ物)は別料金となります。)
メンテナンス 費用
PMTC 60分11,000円
ホワイトニング
フッ素
フッ素塗布
当院はかかりつけ歯科医機能強化型診療所であり、初期むし歯進行抑制のためフッ素塗布を行うことが可能です。
小児の患者さんには実費をいただいていません。
歯周外科治療 費用
| 歯周整形治療 | 88,000円~ |
| 歯周外科治療 | 22,000円 |
歯周病光殺菌治療
| 精密検査 | 11,000円 |
| 歯周病光殺菌治療 1回1時間 | 16,500円 (2〜6回) |
ダイレクトボンディング(審美用強化プラスチックによる治療)
| 前歯 | 19,800円 (1か所につき) |
| 奥歯 | 29,700円 (歯間を含まないもの) |
| 奥歯 | 40,700円 (歯間を含むもの) |
歯髄保存治療
| 歯髄保存治療 | 22,000円 |
(別途インレーやアンレー、クラウンの治療費がかかります)
より安心して治療に臨んでいただけるよう医療法の改正に伴い当院が提供する歯科治療について書かせていただいています。そちらも合わせてご覧ください。
2021年4月1日より税込価格での表示が義務付けられました。それに伴い”治療費について”ページは改訂を行なっています。ただ、それ以前のブログ等の表示までは変わっていませんので保険外診療をご希望の方はこのページに表示される治療費を参考としご相談ください。

















