神経を残していくという目的を持つ、特別なむし歯治療 歯髄保存治療
歯科医療の流れは”抜歯・インプラント”から”歯を残す”へ
むし歯治療は繰り返し受けるほど、歯質を失い歯の神経を失うリスクが高まってしまいます。
歯の神経が失われることで歯の寿命は10年短くなってしまうとも言われています。
誰もが歯の神経を失いたくはありません。
当院では”歯の神経を残していく”という目的を持つむし歯治療を行うため、1本のむし歯に最善を尽くす特別な歯科治療(拡大鏡を用いての確実なむし歯除去、むし歯が再発しにくい精度にこだわる完成、体に優しい材質、強固な接着法、神経を残すための保存治療、お口の細菌管理、かみ合わせ治療)も行っています。
近年ではむし歯治療の質で歯の寿命を変えることが可能であるため、保険治療だけではなくそのような歯のための治療も当院では選択していただけます。
”歯の神経を守り歯の寿命を延ばす”ということを目的とするむし歯治療 : 歯髄(歯の神経)保存治療
歯髄保存治療においても極力痛みを感じさせない特別な麻酔法から治療ははじまります。
1 防湿・感染対策
2 むし歯の徹底除去
3 MTA系神経保護材
4 精度にこだわる、むし歯治療
5 強固な接着
歯髄保存治療症例(当院院長症例)
患者さんは”銀歯ではなくしっかりと治したい”と希望されたため、歯髄保存治療と精密審美治療を行うこととなりました。

治療前の写真です。

銀歯を除去すると中はむし歯により傷んでいました。
銀歯での治療ではこのようにむし歯が再発・進行しやすい環境であるため短い期間で再治療が必要となり、更に神経を失うリスクが高まってしまいます。
歯の神経を極力失わずに済むよう、深いむし歯である程この歯髄保存治療をお勧めします。
1 防湿・感染対策
唾液に触れる状況では細菌感染による治療成功率の低下や、接着が阻害されてしまう可能性があり、治療の確実性が落ちていまいます。
歯髄保存治療ではラバーダムというシートを歯にかけ、治療を行う歯に唾液や細菌がつかない治療環境をつくります。

2 むし歯の徹底除去
歯のための歯科治療には拡大下での施術が世界のスタンダードです。
確実なむし歯除去を行うため、また、必要以上に健康な歯を削らないため拡大鏡(ルーペ)や顕微鏡を用いむし歯治療を行います。
上の写真では下に位置する隣の歯に、侵襲・ダメージを最小限に抑えるためダイレクトボンディングを行っています。
3 MTA系神経保護材
ケイ酸カルシウム覆髄材というものを用い、歯の神経を保護します。カルシウムイオンと水酸化物イオンが放出されることによりアルカリ環境がつくられ、デンティンブリッジ形成を促します。
上の写真では神経近くまでむし歯が進行していたため、このMTA系神経保護材を用い歯髄(歯の神経)保存治療を行なっています。
精密審美治療+歯髄保存治療
上記のように神経を保護した後、歯を長持ちさせ、歯・からだ・笑顔に優しい精密な審美治療を行います。
4 精度にこだわる、むし歯治療
むし歯は除去してある状況であるため、拡大鏡下にてセラミックスインレー形成・型取りを行います。
生きている歯は削らなければ削らない程、歯の寿命を延ばせる可能性が高まります。そのため、拡大鏡を用い精度にこだわる歯科治療を当院では行なっています。

5 強固な接着
歯の寿命を長持ちさせることが精密審美歯科の第一の目的です。
強固な接着法を用いることで歯と修復物は一体化し、より壊されにくい環境をつくることが可能となります。


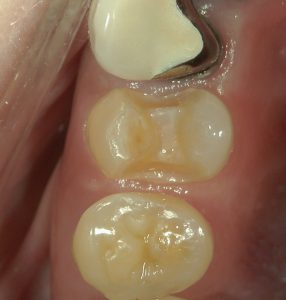
治療前後の写真です。
当院ではこのように精密審美治療に、神経を保護するための歯髄保存治療をオプションとして受けていただける環境を提供しています。
優れた材料に頼るのではなく、それらや歯の状態をより活かすことができるよう努めています。
歯髄保存治療は歯を抜かない、削らないというコンセプトに、より根拠を持たせる治療法です。
小さなむし歯から大きなむし歯まで、
一つ一つのむし歯治療から
歯の寿命を延ばすことができるようこだわりを持って取り組んでいます。
歯髄保存治療費
歯髄保存治療 20000円(税別) + セラミックスかハイブリッド、ゴールドインレー(詰め物)治療費
治療回数:2〜3回(歯髄保存治療からインレー・詰め物の完成まで)
精密なむし歯治療による様々なメリット
保険診療での銀歯・プラスチック治療の周りや中では細菌による様々なトラブルが起きやすい環境となっています。
精度にこだわる歯科医療により細菌ケアをしやすい環境をつくれるため、むし歯再発・歯周病進行・口臭だけではなく糖尿病や心筋梗塞などからも守りやすい環境をつくります。
※歯髄保存治療適用となる歯の状態について
歯髄(歯の神経)が細菌感染などにより傷んでいる場合には多くの場合で適用となりません。(なにもしていなくてもズキズキとした痛みがひどい場合の多くやその歯周辺歯肉におできのような化膿がある場合など) 歯髄保存治療は歯髄を良い状態で保存することを目的としており、壊死・壊疽した歯髄を回復させるものではありません。(術前でのレントゲン撮影により)歯髄近くまで進行したむし歯に対し有効な治療法です。
また、神経はできれば残す方針で治療を行なっているため歯髄保存治療も行っていますが、神経がむし歯により受けているダメージにより失活する可能性があります。歯がむし歯により深刻なダメージを受けていた場合には数ヶ月治療後の経過を見る場合があります。









