かみ合わせ治療
歯を守るかみ合わせ治療
むし歯治療の積み重ねや歯を失うことなどにより、かみ合わせが崩れていく場合があります。
歯を守り、咬めるお口の環境を保つためには、かみ合わせのバランスを保たせる治療でなくてはなりません。
かみ合わせを回復する治療
歯科治療を繰り返している、歯の喪失により咬めない場所がある、入れ歯が入っているなどの状態により、本来のかみ合わせからずれてしまっている場合には、頻繁に治したものが壊れ再治療が必要となる、どちらかでしか咬むことができない、前歯の間がすいてきて出っ歯になってきた、昔より入れ歯が低くてうまく咬めない、などの悩みを抱えていきます。
当歯科クリニックでは患者さんの本来のかみ合わせを回復させる治療も行なっています。
普段意識することなく歯を使っていると思いますがどこか咬みにくい場所があれば1本でも全体的にでもご相談ください。
”どこでも咬みやすい”という環境をつくることが長期的に歯を守ることへと繋がります。
当院ブログ ”かみ合わせ治療”(2015年5月26日)より

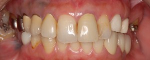
食事に苦労されている治療前
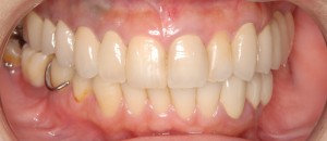
かみ合わせを再構築し、食事しやすくなった治療後
かみ合わせ不良は多くの方にとって問題となっています。
2015年5月26日のブログをご覧下さい。
歯を守るための対応
歯ぎしり・くいしばりによるとても強い咬合力は歯に痛みを生じさせたり歯や顎の関節、歯科治療での修復物を壊してしまいます。
当歯科クリニックではマウスピース(スプリント)を用いた治療も行なっています。(曲がるような軟らかいタイプではなく、かみ合わせを合わせることができる硬いタイプのマウスピースを当院では多くの場合で用いています。)
就寝中にこのオーダーメイドのマウスピースを装着することで、多くの患者さんに肩こりや朝起きた時の頭痛の改善などをもたらしています。
もし日常の中で“気になることがある”と気づかれたら、かみ合わせを含めたお口の中のチェックを早期に受けられてはいかがでしょうか?
かみ合わせ治療
今回下記アンケートに答えてくださった患者さんはご自身で両手のネイルをされるとても器用な方です。
来院される度にネイルが変わるため、スタッフもお会いするのを楽しみにしています。
神経を使う細かい作業をされているという理由もあるかと思いますが、この方は寝ている時にくいしばる癖があり、肩こり偏頭痛もありました。
歯ぎしり・くいしばりなど歯及び歯周組織にとって好ましくない動作の総称をパラファンクションと言います。
寝ている時のことなので自覚がないことも多々ありますが、歯やあご、歯を支える歯周組織にとって良くない力がかかってしまうことで歯の痛みや銀歯の脱離、顎関節の機能障害、歯の動揺などを起こすだけではなく肩こりや偏頭痛にも関係していることがあります。
マウスピースを用いることで、患者さんが感じている様々な不調を改善することができるよう図りました。
高橋歯科クリニック文京が行なうマウスピース治療では、かみ合わせを患者さん一人一人に合わせることでからだの改善も目指しています。
全ての方に結果がでる訳ではもちろんありませんが幸いにもこの方の場合頭痛も改善させることができ、ずっと感じられていた”辛いこと”にも対応することができました。
高橋歯科クリニック文京では日常をより快適に過ごしていただけるよう、総合的な歯科治療を提供しています。
かみ合わせ関連のブログ
・かみ合わせ再構築
歯科治療で困られてきている方は少しずつ歯を失い、やがて本来噛んでいた場所ではないところで噛まざるを得ない状況に追い込まれてしまいます。
当院では顎が噛みやすい場所に歯科治療にて歯をつくることで前歯で噛み切り奥歯でしっかり噛めるというところ目指す治療も行っています。
治療期間は6ヶ月〜2年、治療回数は24回〜96回。
かかる治療費の最大値に関しましてはセラミックスクラウン、コア、根管治療の金額が本数分、選択されるインプラントや入れ歯の費用を合わせたものとなります。
かみ合わせに関しては再構築をしても顎が安定しない場合には顎関節症の専門外来を紹介させていただく場合がないとは言い切れません。ただ気持ちよく噛める状態を取りもどしたいと願う方にとっては根本的な治療となります。ご希望があればご相談ください。









