suggest 審美治療は何ができるのか
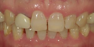
患者さん初診時の写真です。
元々1本1本の歯が細く、歯と歯の間の隙間を気にされていましたが、自分の健康な歯は極力削りたくないという希望をお持ちでした。
そのような状況を改善するため以前にセラミックスを勧められ右上2番目の歯に審美治療を受けましたが、色も形も合わず悩まれていました。
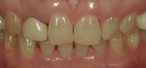
まず、歯を削ることなく歯と歯の間を顔の真ん中と合うよう審美用強化コンポジットレジンで形を整えます。

麻酔は必要なく30分程の治療となります。
上の写真のようにお顔の正面の隙間を埋めるだけでも患者さんの笑顔は変わります。
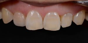
その後、右上のセラミックスを除去し、精密審美治療を行ないます。
カメラが異なるため歯の表情は全く異なるように見えますが同じ患者さんのお口の写真です。

”このような完成は想像できませんでした。早く来れば良かった”と喜んでいただけました。
特徴のある歯並びではありますがサイズと形、色を合わせることで患者さんの笑顔と調和する完成を目指しました。(回数:3回、治療費総額:約14万円:セラミックススタンダードクラス+審美用強化コンポジットレジン)
審美治療は歯科医師の美的感覚や技術により完成度が大きく異なります。そのため症例集で当歯科クリニックの治療品質を掲載し、また、術前に治療内容や完成見通しをご説明しています。
歯科治療には多くの場合で選択肢が存在します。
文京区茗荷谷千石の高橋歯科クリニック文京は、より気持ちの良い毎日を過ごしていただけるよう患者さんの悩みを聞き、提案する歯科医院です。
←「治し方は歯の寿命を左右する」前の記事へ 次の記事へ「”口元を気にして笑わない”ための歯科治療を」→









