新年初仕事 奥歯のむし歯治療

今年の診療がはじまりました。
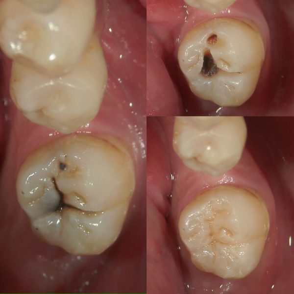
最近、特に大好きなむし歯治療。
お口の中での作業はとても困難なことですがどこまでこだわれるのかという自分との戦いをしているところです。
歯の形には意味があり、歯の色もその方の人生を表します。
それらを様々なインスツルメントを用い再現できるよう努めています。
今年も患者さんに喜んでいただける完成を目指し、私自身も歯科治療を楽しんでいきたいと思います。
インスタグラムもご覧ください。
本年も宜しくお願いいたします。
・ダイレクトボンディングについて
むし歯を取り除きラバーダム下にてEDTA処理を行った後、強化コンポジットレジンにて充填を行います。歯の形態には意味があります。ダイレクトボンディングでは極力歯の形を再現することができるよう努めています。保険で用いられるCR治療との違いはラバーダムを行い強い接着を行うこと、材質が優れていることから変色や摩耗、咬耗しずらくむし歯再発もしにくい完成となります。ただ、奥歯で用いるとセラミックスに比べすり減りが起きやすく、また、欠けないとは言い切れないため再治療が必要になる場合があります。
治療回数期間:当日
前歯:18,000円 奥歯(歯間を含まないもの):27,000円 奥歯(歯間を含むもの):37,000円
←「謹賀新年」前の記事へ 次の記事へ「治療費改定のお知らせ」→









