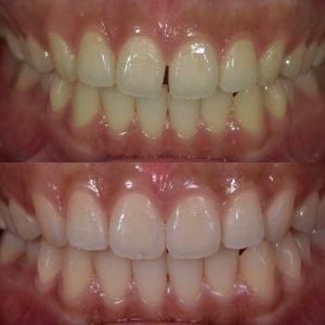
前歯の隙間を気にすることなく

就職活動中の女性患者さんの前歯の隙間をダイレクトボンディングという方法で埋めました。
ずっと笑顔や写真で気になっていたとのこと。
歯を削らず両側から変色しにくい強化プラスチックを用いて接着させているためフロスもできる完成となります。
就職活動中ということもありますがその患者さんにとっての100%の笑顔をしてもらえるようサポートをする歯科医院です。
インスタにも投稿しています!
・ダイレクトボンディングについて
むし歯を取り除きラバーダム下にてEDTA処理を行った後、強化コンポジットレジンにて充填を行います。歯の形態には意味があります。ダイレクトボンディングでは極力歯の形を再現することができるよう努めています。保険で用いられるCR治療との違いはラバーダムを行い強い接着を行うこと、材質が優れていることから変色や摩耗、咬耗しずらくむし歯再発もしにくい完成となります。ただ、奥歯で用いるとセラミックスに比べすり減りが起きやすく、また、欠けないとは言い切れないため再治療が必要になる場合があります。
治療回数期間:当日
前歯:18,000円 奥歯(歯間を含まないもの):27,000円 奥歯(歯間を含むもの):37,000円
←「お子さんの患者さんにも多く来院していただいている理由について」前の記事へ 次の記事へ「衛生士松澤です!」→









