・多くの方が悩まれている、生え際が黒い前歯クラウンについて 10年経過症例
当院のセラミックスクラウンでは ”歯肉との際の段差、黒く見える審美障害が起きにくい治療” を行なっています。
それは当院の特徴の一つです。
歯肉にも優しく、クラウンを長持ちさせることにつながる歯を守るための治療でもあります。
生え際の暗さが気になるためやり直したい
クラウンの色や形が合っていないことと同様に、生え際の黒さが気になるためセラミックスクラウンをやり直したいという方はとても多く、歯を残すことはもちろんのこと綺麗に治したいと願われているためページ下部にて術前術後と合わせ10年が経過した症例をご紹介します。
治療の質を示す症例写真を見せる医院はまだ少なく、更新する医院、そして10年経過を見せる医院は更に限られています。
どのような完成となるのか、そして年数が経った際にどのような状態である可能性があるのかを術前に知ることが患者さんの安心につながるため当院では治療写真をお見せしています。
歯の状態にもよりますし経年的な変化もあるため全ての方に約束できるものではありませんが当院では任せていただく方の笑顔のサポートをするだけではなく少しでも長く綺麗に歯を活かすことができるよう努めています。

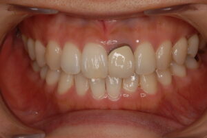
上の写真の前歯のように差し歯の形や軸、厚みや色が合わないだけではなく、この後の写真も同様に差し歯の際が見える状態をどうにかできないかと多くの方が悩まれています。
そのような方々は次に治す際にどこにかかれば歯のためだけではない審美的な治療を受けられるかが分からず不安に感じられています。
そして綺麗な完成を得られるかだけではなく、今までと同様に黒く際が見えるようになってしまわないよう中長期的に維持できるかどうかも知りたいと思われています。
大切な歯を任せる医院を探し、先日は関西からも患者さんが来院されました。
今まで行ってきた治療例を写真と合わせブログに書いていますので つながった差し歯で完成となってしまった前歯の再治療 やHP左側の治療ブログカテゴリーもご覧ください。
患者さんの状態にもよるため全ての方に応えることができるかは分かりませんが2012年の開院以来、患者さんの笑顔をサポートできるよう努めてきました。
歯周病、根管治療、むし歯の治療など歯を残すという目的を持つ治療と、その上で審美的である治療を行なっており今回は前歯の治療について実際に私が行なった治療とその経過をご説明します。
下の写真のように差し歯の際が見えてしまう理由としてはコアに金属を用いていたり、差し歯の精度が低く不適合であり歯肉との際に段差がある(型取りの方法、精度不足)、段差に溜まる汚れにより歯肉が腫れ後退した、差し歯自体にも金属を用いているなどの理由が挙げられます。
当院では歯肉圧排とシリコン印象、精密な歯の形成によりこのようなことが可能な限り起こらないよう努めるだけではなく、症例写真を更新するようにしています。
”どのように治るのか”や治療の質を見ていただくことで完成のイメージを共有しゴールを一緒に喜びたいという思いがあるからです。
実際に私が行なった2例の治療をご紹介します。

この方は20代女性で、幼い頃に前歯を事故により一部破折したことで神経を失いご両親がセラミックス治療を選択された方です。
ただ、セラミックスの精度が高くなかったこともあり、数年が経ち、このように歯肉が下がりセラミッククラウンの際が黒く不適合を主張する状況となったため、治療を任せていただきました。

前歯は顔の一部であるため歯を残すための審美治療により歯のことを忘れ、笑い、食事をできるようになることでその方の人生が変わる可能性があります。
当院ではただ白いのではなく極力自然な完成や、少しでも長く良好な経過をつくることができるよう努めています。
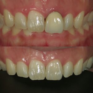
この写真は前歯セラミックス治療の10年経過症例です。

開院してすぐにいらしていただいた患者さんです。
写真では右側(患者さんにとっては左上)2番目の前歯を治したいという希望があり10年前にセラミックス治療を任せていただきました。
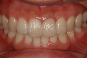
上の写真は術前と術後です。
当時も術前術後写真を了解得た上でホームページに載せましたが、完成から10年が経ったので変化を確認するためにも写真を撮らせていただきました。

他の方の役にたてるのであればと快く写真の掲載に了承をいただきました。
ありがとうございます。
この方の前歯の差し歯の生え際は10年が経過しても黒く見えていないことがお分かりいただけます。
15年前から大切に使っている、当時と同じカメラでの撮影です。
10年後の写真は若干暗い印象がありますが、10年前と比べ歯肉のメラニンが以前より多少濃くなっていることが確認できます。
また、10年の月日により正面の前歯が若干本人左に流れた印象を受けます。
治したセラミックスが多少白く見えるのは他の天然歯のトーンが落ちて暗くなったためと考えますが、接着セメントの色の変化が関係していないとは言えません。
この方は10年もの間、歯周病重症化予防とむし歯予防のため診させていただいていますが、新たな治療をほとんどせずに済んでいます。
修復物の再治療や新たなむし歯、歯周病の進行がなく済む。
その年月の積み重ねが歯の喪失を遅らせ80歳で自身の歯で笑い噛むことにつながります。
長く診させていただいている患者さんが当院には多く、自分が行った治療の経過を確認させていただけています。
そのことが日々の診療の質や経過に裏打ちができ、より良い治療を探ることになるため、これから治療を受ける患者さんにもプラスとなります。
10年前と比べ接着もマテリアルも良くなっていますが、(セメントの色が変化しにくいとされる接着の登場により現在使用するセメントは10年前と異なります)今回の写真による確認では同様の治療を受けた患者さんの経過を注意して見ていきながら接着セメントの選択を考えるきっかけにもなります。
患者さんにも学ばせていただきながら今があり、これからがあります。
歯科治療は単純な作業ではなくとても難しいものですが、これからも困られている方の力になれるよう成長を続けていきたいと思います。
皆さま、いつもご理解をいただきありがとうございます。
・セラミックスクラウンについて
歯の形を整えた後精密な型取りを行い、歯の色も極力合わせることができるよう他歯の写真を撮影、次回完成となります。精密な治療とセラミックス専門の技工士により天然歯を再現するような完成を目指しています。
いつかむし歯の再発が起きたり、セラミックスが欠けるなどのことがあれば再治療が必要となる場合があります。保証制度を設けておりますので治療前にご確認ください。
治療回数は3回 治療期間は7日〜3週間 (ただし根管治療等が必要な場合には回数がかかります)
治療費100,000〜160,000円(税・コア代別)
受けたいセラミックスのクラスを“治療費について“ページにてご確認ください。また、根管治療やコアの治療回数、治療期間、治療費を含んでいませんのでご注意ください。









