歯を守るためのむし歯治療
当歯科クリニックではコンセプトの一つに”守る”ということを掲げています。

人が長く健康に暮らしていくためには丈夫な歯が欠かせません。
ではどのような治療が歯を守る治療といえるのでしょうか。
それは、確実かつ最小限の侵襲でのむし歯治療です。
健康な歯質を少しでも多く残し、再発が起こりにくいよう精度や質の高い治療を行うことが、より長く患者さんの大切な歯を守ります。
当歯科クリニックではむし歯の取り残しのないよう、むし歯の存在を知らせる材料を用いたり、歯を削りすぎることのない治療を保険診療でも行っております。
虫歯の進行

C1の状態で治療すればほとんど痛みもなく少ない回数で治療を終えることができます。
歯を少しでも将来へ残していけるよう、むし歯の部分のみを削る
詰め物の接着性の向上から、必要以上に健全な歯を削らなくてはならないということはなくなりました。むし歯の部分のみを削り、詰めるということが可能になったため、より歯にやさしい治療ができるようになったのです。当歯科クリニックでは歯を守るというコンセプトのもと歯を削る量を最小限に留めております。
再石灰化
むし歯も程度によっては、再石灰化し自然に治ることが言われるようになりました。初期むし歯は状況を説明の上、あえて削ることなくブラッシングやフッ化物の塗布などを行ない、経過を見ながらお口の中を管理していく方法も取り入れています。
痛みや不安をケアするむし歯治療
私自身も歯科治療や麻酔を受けることは苦手です。
無痛治療を提供することができるよう、麻酔に関しても様々な技術を用いることで可能な限り痛みを感じさせないよう努めています。
実際に麻酔や治療へのイメージが変わったと多くの方に喜んでいただいています。
麻酔が苦手な方は、医科の技術も取り入れた当院の歯科麻酔法を是非受けてみてください。
歯医者は恐い?
”歯医者のどのようなところが恐いのか”を患者さんにお伺いするとやはり器具や痛み、音と多くの方が答えられます。
ただ、不安、信頼できないという言葉も多く聞かれます。
むし歯治療では大切な歯を歯科医師に任せなくてはなりません。
当院では術前に状況を確認していただきご説明する時間を設けています。
安心して治療を受けることができる歯科医院を目指し、そして歯医者へのイメージを変えることができるよう日々診療に取り組んでいます。
技術にもこだわりを。
”しっかりと治したい”そのような方のため様々な治療選択肢をご用意しています。

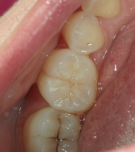
銀歯が入っている術前の状況です。銀歯の合いが悪くむし歯になっていたためむし歯治療を行ないます。

歯科用強化プラスチックを用いた術後。ダイレクトボンディングです。(当院院長治療)
このような歯の為の治療も行なっていますのでご希望等御座いましたらご相談下さい。
精密歯科治療は、結果的に審美的であり歯を守るための治療となる
画像をクリックすると詳細ページに移動します。
・ダイレクトボンディングについて
むし歯を取り除きラバーダム下にてEDTA処理を行った後、強化コンポジットレジンにて即日充填を行います。歯の切削量を最小限にすることができる治療法です。
歯の形態には意味があります。当院が行うダイレクトボンディングでは極力歯の形を再現することができるよう努めています。保険で用いられるCR治療との違いはラバーダムを行い強い接着を行うこと、材質が優れていることから変色や摩耗、咬耗しづらく、むし歯再発もしにくい完成となることです。ただ、奥歯で用いるとセラミックスに比べすり減りが起きやすく、また、欠けないとは言い切れないため再治療が必要になる場合があります。またどの治療法も同じですがむし歯になった際には再治療が必要となります。
治療回数期間:当日
前歯:18,000円 奥歯(歯間を含まないもの):27,000円 奥歯(歯間を含むもの):37,000円










