・MXテレビ”スーパードクター”出演 医院理念について
テレビ取材の依頼をいただいたことにより日々診療をしながら考えていること、思っていることを伝えられるよう頭を整理することがでました。
改めて言葉にすることでスタッフとの理念の共有を強化することとなり、また、私たちが行なっている歯科医療という仕事の意味についても再確認をすることができたので、医院にとってもとても良い機会となりました。
どのような診療理念をもって取り組んでいるのかが今回の番組で取り上げていただいた主な内容ですが、テレビ取材の補足として診療への考えを改めてまとめました。
歯科医師としてのモチベーション
・歯科医療は人を笑顔にすることができる仕事
・歯を削らない、歯を残す、長持ちをさせるという診療コンセプト

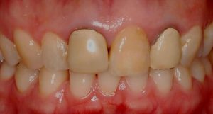
保険での不適合な前歯治療

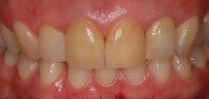
セラミックスによる前歯の治療後
治療費やメリット・デメリット等説明につきましてはこちらのページをご覧ください。
歯科治療の質を高めることは清潔に見える完成をつくるだけではなく、歯の寿命を変えます。
・患者さんが一歩踏み込んだ瞬間の医院の空気が気持ちのよいものであるために
患者さん一人ひとりの状態に対応をする歯科医療により、歯と笑顔を未来へ繋ぐ
・審美の回復だけではなく、いかにその笑顔を維持することができるのかを考える審美治療
・金属アレルギーからからだを守り、清潔で歯を守るという目的を持つメタルフリー治療
・リスクに対応する総合的な歯科治療 (かみ合わせ、予防、精密な歯科治療、歯周病、インプラント)
・2歳のお子さんから年配の方、矯正治療中の患者さんまで 年齢・状態に応じた歯科医療を
テレビ出演についての補足
綺麗に治った、痛くなかった、歯を抜かずにすんだなど喜んでいただける瞬間、笑顔を交わせる瞬間が多く歯科医師として本当に幸せです。
ただ、全力で診療をしていても歯科治療では予期せぬトラブルが生じる可能性もありますし、患者さんが希望する結果を得られない場合もあります。
特に状態が悪い歯の歯科治療は難しく、歯を残せるように、神経を失わずにすむようにと考えていても難しい状況であることが多々あります。
残念ながら歯科治療で歯を生き返らせることは出来ず、また、”歯科治療を受ければ必ず良い結果を得られる”ものでもありません。
開院して9年目を迎え患者さんの笑顔もたくさんいただくことができましたが、もっとなにかできなかったかという思いも常に抱えています。
いつか歯科医師として最後を迎える時にどれほど笑顔を思い浮かべることができるかを考えて日常から診療をしています。
そのため、より患者さんの笑顔をつくることができるよう今日より明日の方が歯科医師として成長しているということを意識し続け診療に取り組んでいます。
一人ひとりへの治療、1日1日の積み重ねがその最後につながっていくことを理解していますので、信じて任せてくださる患者さんだけではなく、スタッフも含めみんなを笑顔にしたいという診療理念を以って社会への貢献をしたいと願いこれからも頑張ります。
コンプライアンスについて
現在、週末も含め週6日診療をしています。子ども達との時間も必然的に限られてしまいますが、なにを考えて今を生きているのかを形として、子ども達に残し伝えることができたらと思い今回の出演を決めました。
今回の番組出演は依頼をいただいたものであり、広告に関わる医療法に触れてまで医院宣伝を、という思いは私たちには一切ありません。
番組内容に関しましては制作側がテレビ局とともにコンプライアンスに則り放映するまで内容を厳しく精査されていましたので付記させていただきます。









