審美歯科において必須となる歯の写真
当歯科クリニックは”ただ白ければ審美歯科”とは考えてはおらず、患者さんの笑顔や口元に調和する完成を目指す審美歯科治療を行なっています。
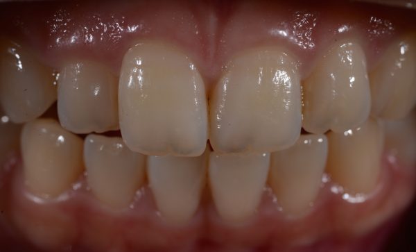
私たちは、自身が行なう審美治療の質を患者さんに知っていただくことで安心して治療を受けていただけるよう症例写真を掲載していますが、ただ今、精密歯科治療において歯の表情をより美しく正確に写すため、新しい撮影法を導入しようと試行錯誤しているところです。

カメラはNikon D600。
90歳を越える祖父が大切に使っていた、本人曰く最後のカメラ。
先日、そのカメラを直接譲り受けた際にはいろいろな想いがこみ上げ、情けない話ですが涙してしまいました。
カメラが大好きな歯科医師であった祖父の存在だけではなく、カメラを教えていただけるプロの患者さんにも支えられ、とても幸せに前向きに写真に取り組んでいます。
大切に。そして有効に使えるよう、精進していこうと思います。
文京区千石・茗荷谷の高橋歯科クリニック文京は新しく素晴らしいものを取り入れながら患者さんに還元する、成長する歯科クリニックです。
←「肩こり・片頭痛も解消するかもしれない、歯を守るマウスピース」前の記事へ 次の記事へ「歯の寿命を変える、むし歯治療」→









