歯の基礎となるコア 接着性能を向上させたファイバーコア
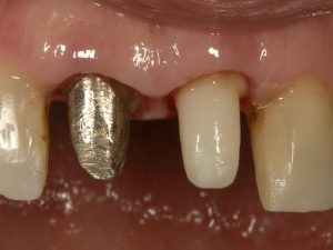
今までの歯科治療ではコア(土台)に金属を用いていました。(現在でも保険治療では多くの場合で金属コアを用いています)
(コアとは、神経を失った歯に感染防止・補強のためにはめ込む土台のことです。コアの上にかぶせもの・クラウン治療が行われます)
しかし歯の芯に金属を用いることで突然抜歯となってしまうことがあります。
このように歯が破折することで抜歯に至るということが起こり得るのです。
当歯科クリニックでは精密治療下でのファイバーコアをお勧めしています。
精密治療下・自由診療でのファイバーコアは歯を破折させるという決定的なダメージを与えにくいだけではありません。

銀合金のコアを用いると(特に前歯で気になる場合が多いですが)歯根の色が暗くなることで審美障害が起きてしまうため、ファイバーコアが重宝されます。
当院が行う”ファイバーコア”は”ただファイバーを用いるコア”ではありません。
コアという治療では、細菌感染を可能な限り防ぐため接着がとても重要になります。
拡大視野下でより確実な治療を行うだけではなく、より強固な接着を行うためにスメアー層を効果的に除去し接着性能を向上させる処理を行なっています。
コアは根管治療と共に歯を守るための大切な基礎となります。
一つ一つの治療にこだわることが歯の寿命を変えます。
歯をより良い状況で残すため、ファイバーコアにもこだわりを持ち治療を行なっています。
接着性能を向上させた自由診療でのファイバーコア:17000円(税別)
(ファイバーコアを用いた場合にはその上のかぶせものも保険適用外となります。現状、制度による制限ではありますが、実際にはコアにもかぶせものにもこだわることがその歯に最善を提供することとなります。是非精密審美治療ページも合わせて御覧下さい。)









