ファイル折れ込みにより抜歯に? 顕微鏡を用いる歯科治療・根管治療
一般的な根管治療ではファイルという器具を用いて根管内の感染を搔き出すように取り除きます。
稀にその金属製のファイルが根管内で食い込むように折れてしまうことがあります。
当院来院のきっかけは一番奥の歯の歯髄炎によるズキズキを解決したいということでしたので先に奥のブリッジ治療を保険にて終えました。食べ物も奥歯にはさまらなくなり喜んでいただいていたところ、しばらくして一つ手前の歯が腫れてきました。
以前に他院にて根管治療を受けられた際に折れ込んだファイルが根管内にあります。
周囲の骨の中でその歯が原因の炎症が強くなり、歯肉が化膿により腫れ、噛むと痛むという自覚症状がでてきてしまったため根管治療を行うことにとなりました。

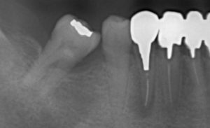
上下ともに当院初診時のレントゲンです。

下の写真は奥歯のブリッジ治療が終わり、ファイルの折れ込みや歯肉の腫れがある歯を治療するため銀歯とメタルコア(金属の芯)を除去したところです。
顕微鏡を用いしっかりと見える環境下にて、健康な歯を削らないようメタルコアを切削除去しました。
残っている白い筋が折れ込んだ金属・ファイルです。

ファイルの破折は多くの歯科医師が経験すること。折れ込んだファイル自体は滅菌をしてあれば感染源になるものではないため根管治療が奏効するのであれば、必ずしも除去しなくてはならないものではないと考えています。
ただ、今回のケースではだいぶ前から根管に取り残された金属片に感染源が付着している可能性があり、また、長く根管内に金属片が食い込み根管が塞がれている状況であったため、歯根の先端まで可及的に感染源を除去することができるよう金属片の除去を試みました。
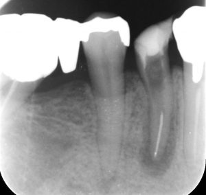
下の写真は顕微鏡下で食い込んでいた金属片を除去したところです。

レントゲンでは歯根の先で歯が割れている像にも見えるのですがファイルを除去後、顕微鏡下で歯根内が割れていないことを確認し(漏洩もなし)、幸いにも膿瘍や感染による症状を消退させることができました。

今後、根管内を緊密に充塡しファイバーコアを立て経過をみます。
今回、ファイルを除去することができなかった場合には抜歯となる可能性がありました。長く歯根に食い込んでいたファイルを極力歯にダメージを負わせないよう心がけながら除去し、結果的に破折や穿孔などの致命的なダメージもなく、幸いにも歯を抜かずに残すことができました。
根管治療が必要とされる歯にはそれぞれ様々な状態・トラブルがありますが、精密根管治療では保険治療での根管治療と異なる質の治療を行うことができるため、歯をより良い状態で残せるよう努めています。
根管治療だけでなく。
この歯を抜歯をせず残せることとなりましたが歯としてはかなり傷んでいる状況ですので、少しでも長く歯を残していくためには根管治療だけが重要な訳ではありません。
その後のコア、セラミックスなどのクラウン・被せ物、もちろん歯周病治療やかみ合わせ。
それぞれが高い質で行われることにより歯の寿命が変わるため、当院では精度や質にこだわる総合的な歯科治療を提供できるよう努めています。
・マイクロエンドについて
根尖の炎症や抜髄時に行う根管治療においてマイクロエンドを受けていただくことが可能です。むし歯を除去し必要に応じて隔壁をEDTA処理後に行います。ラバーダムにより根管内に唾液や細菌が入らないよう防湿し、顕微鏡を用い根管内の細菌感染を可及的に取り除きます。唾液にまみれた状況で行われる根管治療と異なり良好な予後、早期の治癒を望める可能性が高まります。また、穿孔やファイルの破折にも対応できる場合が多々あります。
根管治療は歯の基礎です。当院では精度の高い治療だけではなく歯を守る為根管治療にもこだわりを持って取り組んでいます。
歯の状態にもよりますが破折している場合や難治性の病変の場合にはマイクロエンドを行っても奏功しない場合があります。また、マイクロエンドを行っても一生再度の根管治療を行わなくてすむものではありません。通常の根管治療同様使用する器具が根管内で破折する場合があります。(当院では用いるファイルは全て滅菌処理をしています)
治療期間は1日〜3ヶ月、治療回数は通常1〜5回。
治療費は前歯で40,000円〜45,000円。小臼歯で50,000円〜55,000円。大臼歯で70,000円〜75,000円。
根管治療終了後、別途保険外でのコア、クラウン代がかかります。
穿孔封鎖、ファイル除去では別途10,000円をいただきます。









