
精密根管治療(マイクロエンド)
“治す根管治療” マイクロスコープを用いる精密根管治療
根管治療とは、歯の内部に細菌が侵入することで熱いものがしみる、ずきずき痛い、咬むと痛い、化膿する、歯ぐきが腫れる、脈をうつように痛いなどの症状が起こった時に行う処置です。
根管治療は歯の寿命を決める。
根管治療の成功率は約70% (再治療)。治療を行えば必ず治り再び歯を健康に使えるというものではありません。つまり治らなかった場合は抜歯になってしまいます。
いかに確実な治療を行えるかが歯の寿命を左右するのです。
抜歯したくない、歯を健康に将来へ残したいという患者さんの声はとても多く聞かれます。そのような声にお応えできるよう精密根管治療も治療の選択肢として提供しています。
(当歯科クリニックでは保険診療での根管治療ももちろん行っております。)
根管治療は見えることにより確実な治療に

根管とは0.3ミリ程の太さであり、保険診療は歯の中を手探りで清掃するというとても困難な状況下で行なわれます。
それがマイクロスコープの登場により見える治療となりました。
感染を取り除くという治療の目的は保険治療でも精密根管治療でも同じですが、実体顕微鏡(マイクロスコープ)を用いて汚れを直視し、より確実に感染の除去を行えるようになったことは治療結果に決定的な差を生み出しました。
20年もの間、マイクロスコープや拡大鏡を用い治療を行ってきたからこその治療内容。抜歯とならないためにも、セラミックスなどを長持ちさせるためにも、歯の基礎である根管治療をより確実に行っています。
症例が語る精密根管治療
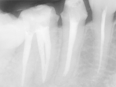
術前
1 折れ込んだファイル

金属疲労により根の中に根管治療で用いられるファイルという器具が折れ込み残されています。そのことで根の先まで清掃できず、化膿し痛みを生じています。手探りで行う一般的な根管治療ではファイルの除去はもちろん手の打ちようがないため抜歯に至ってしまいます。
2 不完全な根管治療
根管治療では清掃した根管内に再び細菌が侵入、繁殖しにくいよう根管充填材により根管内を塞ぎます。このレントゲンでは根尖(根の先)まで充填材が詰まっていないことがわかります。つまり充填材が入っていない根の中の空間で細菌が繁殖し化膿しやすい環境となっているのです。一般的な根管治療では手探りの治療であるため、このような不完全な治療がとても多く認められ、痛みや抜歯の原因となっています。
顕微鏡を用いた根管治療

化膿の原因となる、細菌に感染した根管充填材の除去を行います。
レントゲンで見ても金属以外の異物が根の中から取り除かれたことが分かります。
根管治療とは可能な限り根の中を清掃する治療です。顕微鏡を用いながら徹底的に汚れを除去します。
折れ込んだ金属片の除去


顕微鏡を用い1ミリの直径もない根の中の深くを見ながら、特殊な技術を用い金属を取り除きました。
脳外科の手術などと同様に顕微鏡の応用は歯科でも不可能を可能にしたのです。
そして歯は生かされる。
術前

術後

根管内を徹底的に清掃し最後に根管内を充填材により密封します。
根の先まで治療が行き届いていることがわかります。
根管治療の出来はその歯の寿命を左右します。
抜歯をしなくて済むだけではなく、このような徹底的な根管内の清掃は、化膿の再発を可能な限り防ぐためにもとても重要なのです。
時間をかけ精度にこだわる専門的な根管治療と保険診療での根管治療とでは治療の成果に格段の差が生じます。
将来に向け歯を大切に考えられている方
抜歯になる可能性がある方
お子さまで神経を取らざるを得ない方
(永久歯は6歳で生えはじめ、平均年齢約78歳まで使うため、確実な処置が必要です。)
精密根管治療は歯を守ります。
マイクロエンドを含めた歯を守るための歯科治療
マイクロエンドや保険での根管治療後にはセラミックスなどのかぶせもの(俗に言うさし歯)をするわけですが、残念ながら一生持つ訳ではない場合が多々あります。
なぜ再治療が必要になるのか。
それは細菌が歯根内に侵入するためです。つまりセラミックスなどの不適合やかみ合わせ不良などにより、細菌がセラミックスの際から入り込み歯にしみ込むことで悪さをします。 再治療が必要となる原因は他にもいくつかありますが、歯根の再感染により根の先で膿みが溜まるなどの状態となった場合には再根管治療が必要となるため、せっかくのかぶせものなどがやり直しとなります。つまり作り替えということです。
再発による再治療を少しでも先延ばしするために
根管治療をしっかり行うことが再発を先延ばしすることにつながり、より長く歯を使える状況をつくれるということはお分かりいただけると思います。 当歯科クリニックでは保険診療でもしっかりと根管治療を行っているだけではなく、患者さんのご希望によってマイクロエンドも行っています。 歯を失わないよう、歯の基礎となる根管治療をしっかりと行っています。
重要なのはマイクロエンドだけではなく、全ての治療
再発防止には行われる治療全てが高い精度で行われている必要があります。
つまり根管治療後の補綴処置というセラミックスなどもとても重要となるのです。
せっかくのかぶせものも精度が悪ければ上述したようにその境目から細菌が侵入し、むし歯がつくられるだけではなく歯の中に細菌が侵入し、化膿する原因となります。

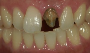
もちろんセラミックスも段差があったり、歯と合っていなければ早期に傷んでしまいます。
かぶせものをとると中はこのように傷んでいることが多く、この方の場合も歯根がかなり傷んでしまっていることがわかります。

それは新しくつくるセラミックスでも同様です。歯の形がぼてっとしていたり段差があったり、からだと調和しないものであればトラブルが起こりやすくなってしまいます。
当歯科クリニックのコンセプトは歯を守る
重要なのは全ての治療とお話しました。いくら根管治療をしっかり行ってもかぶせものなどの精度が低ければむし歯や歯周病の原因となり歯が膿んでしまう原因となってしまいます。
当歯科クリニックではセラミックスなどを長持ちさせるため、精密な型取りを時間をかけ専門的に行っています。(セラミックスなどの保険診療外治療) 患者さんに任せていただく歯を少しでも長くきれいにつかっていただけるよう根管治療だけではなくセラミックスなどの精密歯科治療もしっかりと行っています。
マイクロエンドが歯を守るわけではありません。
繰り返すようになってしまいますが、マイクロエンドもあくまで治療の一つ。コア(土台)も長持ちできるものをつくり、必要であればかみ合わせ治療を行い、そしてセラミックスなどによる歯にジャストフィットするオーダーメイド治療を行う。そのことが私たちが提供する”その歯を守るためのベストの治療”です。
文京区の歯医者、高橋歯科クリニック文京は”高精度の治療を行うことで歯の寿命を延ばす”ことができるよう日々努めています。
難治性の根管治療に対して
難治性の根尖性歯周炎への対応として歯肉を剥離して原因となる根の先や骨内の感染を取り除く歯根端切除術が行われることが多くなりましたが、当院では歯根切除により歯根が短くなってしまうため可能な限り外科的な処置は行なっていません。
時間がかかりますが顕微鏡下にて根管治療を続けることで歯根端切除を行わなくて済むケースが多数あります。
可能な限り抜歯に至るまで時間を稼ぐことができるよう極力侵襲が少ない治療を提案しています。
高橋歯科クリニック文京ブログ 根管治療関連
ファイル折れ込みにより抜歯に? 顕微鏡を用いる歯科治療・根管治療
・マイクロエンドについて
根尖の炎症や抜髄時に行う根管治療においてマイクロエンドを受けていただくことが可能です。むし歯を除去し必要に応じて隔壁をEDTA処理後に行います。ラバーダムにより根管内に唾液や細菌が入らないよう防湿し、顕微鏡を用い根管内の細菌感染を可及的に取り除きます。唾液にまみれた状況で行われる根管治療と異なり良好な予後、早期の治癒を望める可能性が高まります。また、穿孔やファイルの破折にも対応できる場合が多々あります。
根管治療は歯の基礎です。当院では精度の高い治療だけではなく歯を守る為根管治療にもこだわりを持って取り組んでいます。
歯の状態にもよりますが破折している場合や難治性の病変の場合にはマイクロエンドを行っても奏功しない場合があります。また、マイクロエンドを行っても一生再度の根管治療を行わなくてすむものではありません。通常の根管治療同様使用する器具が根管内で破折する場合があります。(当院では用いるファイルは全て滅菌処理をしています)
治療期間は1日〜3ヶ月、治療回数は通常1〜5回。
治療費は前歯で40,000円〜45,000円。小臼歯で50,000円〜55,000円。大臼歯で70,000円〜75,000円。
根管治療終了後、別途保険外でのコア、クラウン代がかかります。
穿孔封鎖、ファイル除去では別途10,000円をいただきます。









